บทความพิเศษ
Special Article
ประสบการณ์ของศิริราชในการระบาดของโควิด-19 ระลอกแรก
นิธิพัฒน์ เจียรกุล พ.บ.
สาขาวิชาโรคระบบการหายใจและวัณโรค ภาควิชาอายุรศาสตร์ คณะแพทยศาสตร์ศิริราชพยาบาล มหาวิทยาลัยมหิดล
บทนำ
ภายหลังการระบาดของเชื้อไวรัสโคโรนาสายพันธุ์ใหม่ในประเทศจีนตั้งแต่ปลายปี 2562 ไม่นานนักประเทศไทยที่เป็นเป้าหมายหลักหนึ่งของนักท่องเที่ยวจีนเริ่มมีผู้ป่วยรายแรก หลังจากนั้นจึงค่อยมีการระบาดไปอย่างช้าๆ ภายใต้การควบคุมอย่างดีของกระทรวงสาธารณสุข จนกระทั่งมีการระบาดอย่างรวดเร็วในระลอกแรกในช่วงกลางเดือนมีนาคม 2563 ทำให้มีผู้ป่วยด้วยโรคนี้ในชื่อใหม่ คือ “โควิด-19” เพิ่มขึ้นอย่างรวดเร็วในเขตกรุงเทพและปริมณฑล
SARS-CoV-2
เชื้อไวรัสโคโรนาสายพันธุ์ใหม่นี้ได้รับการตั้งชื่ออย่างเป็นทางการว่า severe acute respiratory syndrome coronavirus-2 (SARS-CoV-2) เนื่องจากมีความใกล้เคียงของลักษณะทางพันธุกรรมกับเชื้อ SARS-CoV ที่ทำให้เกิดการระบาดของโรคซาร์สเมื่อสิบกว่าปีก่อน1 เชื้อนี้มี reservoir host คือ ค้างคาว โดยมีตัวนิ่มเป็น intermediate host 2 ในการเข้าสู่เซลล์เพื่อทำให้ติดเชื้อในร่างกายมนุษย์และสัตว์เลี้ยงลูกด้วยนมอื่นไวรัสนี้จะใช้ส่วน spike (S) protein จับกับ angiotensin-converting enzyme 2 (ACE2) receptor3 นอกจากนี้ยังมีบทบาทของขั้นตอนอื่นในพยาธิกำเนิดของโรคที่มีความสำคัญในการค้นหาวิถีทางรักษาโรคนี้ต่อไปในอนาคต ไม่ว่าจะเป็นกระบวนการ endocytosis โดยอาศัย AP-2-associated protein kinase 1 (AAK1) หรือ กระบวนการ replication โดยใช้ RNA-dependent RNA polymerase (RDRp)4
ปรากฏการณ์หนึ่งที่พบในระหว่างการดูแลรักษาผู้ป่วยโควิด-19 คือ cytokine storm ซึ่งพบได้เช่นเดียวกับในผู้ป่วยโรคซาร์สและโรคไข้หวัดใหญ่ 2009 ในช่วงการระบาดแรกๆ โดยเกิดขึ้นเฉพาะผู้ป่วยบางรายในระยะหลังที่กำลังฟื้นตัวจากโรค และเป็นสาเหตุสำคัญหนึ่งของการเกิด ARDS และ multiple organ dysfunction ที่ทำให้การพยากรณ์โรคไม่ดี เชื่อว่าเกิดจาก CD4+T cells ที่ถูกกระตุ้นอย่างรุนแรงและรวดเร็ว จึงหลั่ง GM-CSF และ inflammatory cytokine อื่น ซึ่งจะไปกระตุ้น dendritic cell และ macrophage ทำให้มี high expression ของ IL-6 และ inflammatory biomarker อื่น5
Clinical manifestations and severity classification
การวินิจฉัยการติดเชื้อ SARS-CoV-2 ปัจจุบันยังใช้วิธีการตรวจ RT-PCR จาก nasopharyngeal หรือ oropharyngeal swab หรือจากเสมหะในกรณีผู้ป่วยเกิด pneumonia และจาก tracheal aspiration ในกรณีผู้ป่วยใส่ท่อช่วยหายใจ ข้อบ่งชี้ในการตรวจ คือ 6
- ผู้มีอาการของ influenza-like illness (ILI) คือ ไอ หรือ เจ็บคอ หรือ มีน้ำมูก และ/หรือ มีไข้เกิน 37.5 ๐C และมีประวัติเสี่ยงในช่วง 14 วัน
- ผู้ป่วยปอดอักเสบในชุมชนที่แพทย์สงสัยว่าอาจเกิดจากเชื้อโควิด-19 โดยเฉพาะที่อาการรุนแรงแม้ไม่มีปัจจัยเสี่ยง
- บุคลากรทางการแพทย์ที่ทำงานเกี่ยวข้องกับผู้ป่วยแล้วเกิด ILI และ/หรือ มีไข้เกิน 37.5 ๐C
- ผู้ป่วยที่เกิด ILI เป็นกลุ่มมากกว่า 5 คน ในช่วง 1 สัปดาห์
ในกรณีที่ผลตรวจเป็นลบ แต่มีความเสี่ยงให้ทำการกักตัวตัวที่บ้าน (home quarantine) จนครบ 14 วัน ถ้าอาการไม่ดีขึ้นภายใน 48 ชั่วโมงให้ทำการตรวจ RT-PCR ซ้ำ
ในกรณีที่ผลตรวจเป็นบวก สามารถให้การวินิจฉัยติดเชื้อโควิด-19 ได้ ให้ประเมินความรุนแรง โดยแบ่งเป็น
- Mild disease คือ ผู้ป่วยที่ไม่มีอาการหรือมีอาการน้อย โดยไม่มีโรค/ภาวะร่วมรุนแรง และ ไม่มีปัจจัยเสี่ยงทางคลินิก
- Moderate disease มีโรค/ภาวะร่วมรุนแรง (age > 60 ปี, COPD, CKD, obesity, CHF, cirrhosis, immunosuppressed state) หรือ มีปัจจัยเสี่ยงทางคลินิก (RR > 22, SBP < 100 mmHg, altered mental status, room-air SpO2 < 94%, or opacities on CXR)
- Severe disease (requiring high-flow nasal cannula [HFNC] or invasive ventilation or other organs support)
สำหรับการแบ่งความรุนแรงตามแบบ NIH ของประเทศสหรัฐอเมริกา คือ 7
- Asymptomatic or presymptomatic infection: positive SARS-CoV-2 but have no symptoms
- Mild illness: any of fever, cough, sore throat, malaise, headache, or muscle pain without shortness of breath, dyspnea, or abnormal imaging
- Moderate illness: evidence of lower respiratory disease by clinical assessment or imaging and SaO2 > 93% on room air
- Severe illness: RR > 30, SaO2 ≤ 93% on room air, PaO2/FiO2 < 300, or lung infiltrates > 50%
- Critical illness: respiratory failure, septic shock, and/or multiple organ dysfunction
จากข้อมูลผู้ป่วยโควิด-19 ที่เป็นผู้ใหญ่ของโรงพยาบาลศิริราชจำนวน 106 คน พบเป็นเพศชาย 57.5% สูบบุหรี่ 19.8% เป็นเบาหวาน 11.3% ความดันสูง 12.3% อ้วน (BMI > 25 kg/m2) 29.2% มีอาการก่อนรับไว้ในโรงพยาบาลประมาณ 5 วัน อาการที่พบบ่อย คือ ไข้ 73.6% ไอ 65.1% เจ็บคอ 33.7% และ มีน้ำมูก 28.3% แบ่งความรุนแรงเป็น mild, moderate, และ severe disease ได้เป็น 76.4, 14.2, และ 9.4% ตามลำดับ โดยผู้ป่วยที่อายุเกิน 35 ปีจะพบโรคเบาหวาน ความดันสูง และอ้วน มากกว่ากลุ่มที่อายุน้อยกว่า 35 ปี และจะพบ severe disease ได้มากกว่า
Radiographic findings
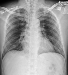
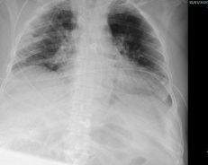
พบความผิดปกติจากภาพถ่ายรังสีทรวงอกในวันแรกที่รับไว้ในโรงพยาบาล 66% โดยส่วนใหญ่ที่พบเป็น bilateral peripheral opacities/consolidations (รูปที่ 1) มีส่วนน้อยที่เป็น unilateral involvement (รูปที่ 2) บางรายพบลักษณะของ focal opacities ทำให้ดูคล้ายเป็น nodule หรือ mass (รูปที่ 3) และพบ pleural effusion (รูปที่ 4) เพียง 3 รายเท่านั้น ได้ทำการตรวจ CT scan ไป 4 ราย ซึ่งพบว่ามีความไวในการตรวจพบความผิดปกติได้เพิ่มขึ้น


รูปที่ 1. แสดงภาพถ่ายรังสีทรวงอกธรรมดา (ซ้ายมือ) และคอมพิวเตอร์ (ขวามือ) ของผู้ป่วยวันที่ 21 หลังเริ่มมีอาการติดเชื้อโควิด-19 พบลักษณะ bilateral peripheral opacities/consolidations


รูปที่ 2. แสดงภาพถ่ายรังสีทรวงอกธรรมดา (ซ้ายมือ) และคอมพิวเตอร์ (ขวามือ) ของผู้ป่วยวันที่ 4 หลังเริ่มมีอาการติดเชื้อโควิด-19 พบลักษณะ unilateral (left) peripheral opacity/consolidation


รูปที่ 3. แสดงภาพถ่ายรังสีทรวงอกธรรมดา (ซ้ายมือ) และคอมพิวเตอร์ (ขวามือ) ของผู้ป่วยวันที่ 5 หลังเริ่มมีอาการติดเชื้อโควิด-19 พบลักษณะ focal opacities/ consolidations ลักษณะดูคล้ายเป็น nodule หรือ mass


รูปที่ 4. แสดงภาพถ่ายรังสีทรวงอกธรรมดาของผู้ป่วยติดเชื้อโควิด-19 พบลักษณะ bilateral minimal pleural effusion ในรูปซ้ายมือ และ minimal right-sided pleural effusion ในรูปขวามือ
Management plan
แนวทางการดูแลรักษาสำหรับผู้ป่วย mild disease จะเป็นการรักษาด้วย chloroquine หรือ hydroxychloroquine ร่วมกับ darunavir/ritonavir หรือ lopinavir/ritonavir นาน 5 วัน แต่ถ้าเป็น moderate disease ให้เพิ่ม favipiravir 5-10 วัน ซึ่งจะเพิ่มเป็นอย่างน้อย 10 วันถ้าเป็น severe disease โดยการรักษาที่สำคัญเช่นเดียวกับผู้ป่วยปอดอักเสบ คือ
- Oxygen support โดยเริ่มจาก low-flow oxygen ก่อน ถ้าไม่ดีขึ้นจึงใช้ high-flow nasal cannula (HFNC) หรือ non-invasive-ventilation (NIV) โดยต้องระวังเรื่อง aerosol dispersion และต้องมีการเตรียมพร้อมใกล้ชิดสำหรับการทำ elective endotracheal intubation with invasive ventilation (IV)
- ARDS care เช่นเดียวกับผู้ป่วย ARDS ทั่วไปเพียงแต่ให้ neuromuscular blockades เร็วและรีบหยุดให้เร็วเมื่อหมดข้อบ่งชี้ โดยที่ผู้ป่วยจะตอบสนองดีต่อ prone position และ high PEEP
- Organ support อื่น เช่น vasopressors, inotropic drugs, หรือ renal replacement therapy เมื่อมีข้อบ่งชี้
ผลข้างเคียงจากยาต้านไวรัสโดยรวมคือ คลื่นไส้ อาเจียน ท้องเสีย และ transaminitis สำหรับในรายผู้สูงอายุและมีการทำงานของไตเสื่อมต้องเฝ้าระวังภาวะ prolonged QTc ปัจจุบันยังไม่มีหลักฐานยืนยันว่ายาต้านไวรัสชนิดใดได้ผลดี แม้ว่ายา remdesivir จะช่วยให้ผู้ป่วยมีอาการดีขึ้นเร็วได้ 8
ในรายที่สงสัย cytokine storm โดยที่ไม่มีหลักฐานของการมี bacterial infection แทรกซ้อน อาจให้การรักษาร่วมด้วย systemic corticosteroid หรือ anti-IL6 (tocilizumab) อย่างระมัดระวัง
ในกรณีที่เกิด ARDS ให้ใช้ neuromuscular blockade ตั้งแต่ระยะแรกของ IV จะทำให้การดูแลรักษาสะดวกขึ้น แล้วรีบหยุดใช้เมื่อหมดความจำเป็น ผู้ป่วยมักตอบสนองดีต่อการใช้ high PEEP และในรายที่เริ่มมีข้อบ่งชี้ให้รีบทำ prone position therapy จะทำให้ oxygenation ดีขึ้นเร็ว และสามารถไปประยุกต์ใช้ในกรณีที่ผู้ป่วยไม่ได้ใช้ invasive mechanical ventilation ก็ได้ (awakening prone)
ในรายที่ตอบสนองดีโดยไข้ลงต่ำกว่า 37.8๐C ติดต่อกัน 48 ชม. ร่วมกับขณะพักหายใจน้อยกว่า 20 ครั้ง/นาที และ room-air SpO2 เกิน 94% สามารถ step down สถานที่ในการรักษาหรือสามารถจำหน่ายจากโรงพยาบาลได้ โดยถ้าให้ออกจากโรงพยาบาลต้องทำ home isolation ต่อที่บ้านจนครบ 30 วันหลังเริ่มมีอาการ
สำหรับผลการรักษาผู้ป่วย moderate to severe disease ใน COVID-ICU ที่ศิริราชทั้งหมด 13 ราย (endotracheal intubation with invasive ventilation 5 ราย) ไม่มีรายใดเสียชีวิต และทั้งหมดสามารถกลับไปใช้ชีวิตได้ตามปกติ โดยมีการใช้ HFNC ทั้งหมด 10 ราย ได้ผลดี 7 ราย อีก 3 รายต้องใช้ IV (มักมีอายุมากและอ้วน) แต่ทั้งหมดก็ได้ผลดี มีการใช้ NIV สลับกับ HFNC 1 รายได้ผลดี ในผู้ป่วยที่ใช้ IV ทั้งหมด 5 ราย ระยะเวลาการใช้เครื่องช่วยหายใจอยู่ระหว่าง 3-18 วัน เมื่อหายดีแล้วทั้งหมดกลับไปมีสมรรถภาพการออกกำลังใกล้เคียงกับก่อนป่วย ในผู้ป่วยทั้ง 13 รายได้รับ prone position therapy ซึ่งตอบสนองดีและไม่เกิดภาวะแทรกซ้อน
Protective personal equipment (PPE)
เป็นอุปกรณ์ที่ใช้ป้องกันตนเองของบุคลากรไม่ให้รับเชื้อโควิด-19 จากผู้ป่วย ซึ่งจะห่อหุ้มร่างกายทั้งหมดหรือบางส่วนขึ้นกับว่ากิจกรรมที่เกี่ยวข้องกับผู้ป่วยมีความเสี่ยงและความเป็นไปได้ในการรับเชื้อมากแค่ไหน สำหรับชิ้นส่วนที่สำคัญ คือ เสื้อคลุม และ หน้ากาก
เสื้อคลุมที่ใช้ในการดูแลผู้ป่วยโควิด-19 ทั่วไปแบ่งได้เป็น 2 กลุ่มตามความเสี่ยงของกิจกรรม ถ้ามีความเสี่ยงต่ำ เช่น ตรวจผู้ป่วย ดูแลรักษาทั่วไป ให้ใช้ protective gown ซึ่งมีคุณสมบัติกันน้ำและทนแรงดึงได้เล็กน้อย เนื่องจากไม่คลุมศีรษะ ลำคอ แผ่นหลัง และเท้า จึงต้องใช้ PPE อื่นเสริมถ้ามีความเสี่ยงเฉพาะจุด นอกจากนี้รอยตะเข็บจะเป็นจุดที่น้ำซึมเข้าได้ สำหรับกิจกรรมเสี่ยงต่อ droplets และ aerosols แนะนำให้ใช้ชุดที่คลุมเกือบทั้งตัว (coveralls) ซึ่งจะปิดจุดอ่อนของ protective gown เมื่อใช้ร่วมกับ PPE อื่นจนครบชุด (full PPE) ต้องระมัดระวังเวลาถอดหลังเลิกใช้งานเพราะจะมีความเสี่ยงในการติดเชื้อ และต้องเก็บรวมรวมเพื่อนำไปทิ้งหรือทำลายเชื้ออย่างถูกวิธี ปัจจุบันมีการผลิตเสื้อคลุมชนิดใช้ซ้ำโดยใช้ผ้าใยสังเคราะห์ที่ทนแรงดันน้ำได้มาก ซึ่งต้องมีการฆ่าเชื้อหลังใช้งานที่มีประสิทธิภาพ นิยมใช้การซักและอบร้อน ก่อนนำไปใช้งานต้องสำรวจว่าไม่มีรอยฉีกขาดและชิ้นส่วนประกอบเช่นยางยืดหรือสายรัดว่ายังอยู่ในสภาพดี
การใช้หน้ากากป้องกันเยื่อบุจมูกและปาก รวมถึงป้องกันละอองฝอยที่จะผ่านเข้าไปกับลมหายใจ ในกิจกรรมที่ไม่เสี่ยงต่อการทำให้เกิด aerosols เลือกใช้ surgical (medical) mask ซึ่งจะกรองอนุภาคได้ไม่ดีนักและไม่กระชับกับรูปหน้ามาก แต่ถ้าเป็นกิจกรรมที่เสี่ยงต่อการทำให้เกิด aerosols เช่น oxygen therapy, nebulizer treatment, endotracheal intubation, หรือ mechanical ventilation ต้องแก้ไขจุดอ่อนข้างต้นด้วยการใช้ N95 respirator โดยเลือกใช้ชนิดสำหรับทางการแพทย์ (medical model) ซึ่งผิวนอกจะเคลือบสารที่มีคุณสมบัติกันน้ำ แต่ถ้าหาไม่ได้จึงเลือกใช้ชนิดสำหรับอุตสาหกรรม (industrial model) แล้วใช้ surgical mask คลุมทับอีกชั้นหนึ่ง ก่อนการใช้งานต้องมีการปรับให้กระชับกับรูปหน้ามากที่สุด ในสถานการณ์ที่ขาดแคลน N95 respirator ให้วางแผนการใช้งานให้ต่อเนื่องมากที่สุดโดยให้ได้ 1 ชิ้นต่อ 1 เวรต่อบุคลากร 1 คน เมื่อเลิกใช้งานและสำรวจแล้วด้านหน้าไม่สกปรกและสายรัดยังดี สามารถนำไปฆ่าเชื้อแล้วนำกลับมาใช้ซ้ำได้ 3-5 ครั้ง โดยใช้ UVC, microwave generated stream, moist heat, hydrogen peroxide vapor
Negative pressure room/chamber
ในการดูแลรักษาผู้ป่วยโรคติดเชื้อร้ายแรงที่ติดต่อทาง aerosols นอกจาก PPE แล้ว การทำให้เกิดแรงดันลบรอบตัวผู้ป่วยจะช่วยอีกทางหนึ่งในการป้องกันการแพร่เชื้อจากผู้ป่วยสู่บุคลากร สำหรับเชื้อโควิด-19 มีคุณสมบัติเช่นเดียวกับเชื้อวัณโรคและเชื้อไข้หวัดใหญ่ สถานที่สำหรับดูแลคือ airborne infection isolation room (AIIR) ซึ่งจะต้องมีห้องสำหรับเตรียมตัวก่อนผ่านเข้าไปในบริเวณแรงดันลบที่ผู้ป่วยอยู่ (anteroom) ภายในต้องจัดให้มีอากาศหมุนเวียนอย่างน้อย 6 เท่าของปริมาตรห้องต่อชั่วโมง พร้อมกับควบคุมอุณหภูมิและความชื้นให้เหมาะสม สำหรับการไหลของอากาศในห้องต้องให้เป็นไปในทิศทางเดียวมากที่สุด และช่องดูดอากาศออกจากห้องควรอยู่สูงจากพื้นไม่เกิน 15 ซม. อากาศที่ออกไปแล้วต้องมีการกรองเชื้อโรคด้วย HEPA filter โดยอาจเพิ่มเครื่องผลิตแสง UVC เพื่อช่วยในการฆ่าเชื้อ
บทส่งท้าย
เชื้อโควิด-19 หรือชื่อทางการคือ SARS-CoV-2 ดูเหมือนจะเป็นเชื้อโรคอุบัติใหม่แห่งทศวรรษหรือแห่งศตวรรษที่มีฤทธิ์ทำลายล้างสูง การมีพื้นฐานระบบสุขภาพที่ดีและความร่วมมือร่วมใจของภาคประชาชน ทำให้สถานการณ์โควิด-19 ระลอกแรกของประเทศไทยมีการสูญเสียไม่มากนัก ในอนาคตจะต้องมีการเตรียมความพร้อมสำหรับการเผชิญหน้าหายนะทางการแพทย์ทั้งที่เกิดจากการติดเชื้อหรือเหตุอื่น สิ่งที่ควรทบทวนและเตรียมพร้อมไปควบคู่กัน คือ การอยู่ร่วมกับธรรมชาติแบบกลมกลืน และการยึดมั่นในหลักปรัชญาเศรษฐกิจพอเพียงที่ถ่ายทอดมาจากพระบาทสมเด็จพระบรมชนกาธิเบศร มหาภูมิพลอดุลยเดชมหาราช บรมนาถบพิตร
เอกสารอ้างอิง
- Wu F, Zhao S, Yu B, Chen YM, Wang W, Song ZG, et al. A new coronavirus associated with human respiratory disease in China. Nature 2020; 579:265-9.
- Lam TT, Shum MH, Zhu HC, Tong YG, Ni XB, Liao YS, et al. Identifying SARS-CoV-2 related coronaviruses in Malayan pangolins. Nature 2020 Mar 26. doi: 10.1038/s41586-020-2169-0.
- Wan Y, Shang J, Graham R, Baric RS, Li F. Receptor recognition by the novel coronavirus from Wuhan: an analysis based on decade-long structural studies of SARS coronavirus. J Virol 2020 Mar 17;94(7). pii: e00127-20. doi: 10.1128/JVI.00127-20.
- Magro G. SARS-CoV-2 and COVID-19: What are our options? Where should we focus our attention on to find new drugs and strategies? Travel Med Infect Dis 2020 Apr: 101685.doi: 10.1016/j.tmaid.2020.101685.
- Ye Q, Wang B, Mao J. The pathogenesis and treatment of the `Cytokine Storm’ in COVID-19. J Infect. 2020 Apr 10:S0163-4453(20)30165-1. doi: 10.1016/j.jinf.2020.03.037.
- กรมการแพทย์ แนวทางเวชปฏิบัติ การวินิจฉัย ดูแลรักษา และป้องกันการติดเชื้อในโรงพยาบาลกรณีโรคติดเชื้อไวรัสโคโรนา 2019 (COVID-19) ฉบับปรับปรุง 1 พฤษภาคม 2563. ddc.moph.go.th › file › g_health_care
- The guidelines for the diagnosis, treatment, and control of the coronavirus disease 2019 (COVID-19). http://www.covid19treatmentguidelines.nih.gov
- Wang Y, Zhang D, Du G, Du R, Zhao J, Jin Y, et al. Remdesivir in adults with severe COVID-19: a randomised, double-blind, placebo-controlled, multicentre trial. Lancet 2020; 395, doi:https://doi.org/10.1016/S0140-6736(20)31022-9

Pingback: ปีที่ 39 ฉบับที่ 2 Volume 39 Issue 2 | ThaiChest