บททบทวนวารสาร
Review Article
PDF
ภาวะแผลรูเชื่อมระหว่างหลอดลมและช่องเยื่อหุ้มปอด
Bronchopleural Fistula
วรวุฒิ ตันติทวีวัฒน์ พ.บ.*
ธิติวัฒน์ ศรีประสาสน์ พ.บ.*
* โรงพยาบาลจุฬาลงกรณ์ สภากาชาดไทย
รับไว้ตีพิมพ์ เมื่อวันที่ 16 มิถุนายน 2562
บทนำ
แผลรูเชื่อมระหว่างหลอดลมและช่องเยื่อหุ้มปอดเป็นภาวะแทรกซ้อนที่ร้ายแรงที่เกิดขึ้นได้ตามหลังการผ่าตัดทรวงอก รวมถึงตามหลังภาวะปอดอักเสบติดเชื้อ ส่งผลให้ผู้ป่วยมีระยะเวลาในการใช้เครื่องช่วยหายใจที่นานขึ้น จำเป็นต้องนอนโรงพยาบาลนานขึ้น รวมถึงมีอัตราการเสียชีวิตที่สูง แม้ว่าปัจจุบันการรักษาโรคทางทรวงอกจะมีความก้าวไกลมากขึ้น มีการศึกษาปัจจัยเสี่ยง มีมาตรการในการป้องกัน รวมถึงการรักษาทั้งการผ่าตัดและการรักษาโดยการส่องกล้องทางเดินหายใจโดยเทคนิคต่างๆ แต่อัตราการเสียชีวิตในผู้ป่วยที่มีภาวะแผลรูเชื่อมระหว่างหลอดลมและช่องเยื่อหุ้มปอดก็ยังสูงถึงร้อยละ 20 ถึง 70 ทั้งนี้ขึ้นกับสาเหตุของการเกิดภาวะดังกล่าว1
นิยามและความสำคัญ
แผลรูเชื่อมระหว่างหลอดลมและช่องเยื่อหุ้มปอด (bronchopleural fistula) เป็นภาวะที่มีทางเชื่อมที่ผิดปกติระหว่างหลอดลม (ทั้งหลอดลมใหญ่ (trachea), แขนงหลอดลมใหญ่ขวาและซ้าย (main bronchus) และ แขนงย่อยของหลอดลม (segmental bronchus)) กับช่องเยื่อหุ้มปอด ซึ่งทำให้เกิดภาวะลมรั่วในช่องเยื่อหุ้มปอด (pneumothorax) เนื่องจากมีการไหลผ่านของอากาศจากหลอดลมออกส่งผลทำให้การติดเชื้อในช่องเยื่อหุ้มปอดตามหลัง อันเนื่องจากเกิดการปนเปื้อนจากบริเวณที่ไม่ปลอดเชื้อของทางเดินหายใจเข้าสู่บริเวณปลอดเชื้อของช่องเยื่อหุ้มปอด ส่วนคำว่า alveolo-pleural fistula นั้นหมายถึงรูรั่วที่เกิดขึ้นจากการมีพยาธิสภาพภายในเนื้อปอด (lung parenchyma) ออกสู่บริเวณช่องเยื่อหุ้มปอด นอกจากนี้ยังมีอีกคำนิยามหนึ่งคือภาวะลมรั่วในช่องเยื่อหุ้มปอดเรื้อรัง (persistent air leakage) ซึ่งเป็นภาวะที่มีลมรั่วออกสู่ช่องเยื่อหุ้มปอดด้วยสาเหตุต่างๆที่มีระยะเวลานานต่อเนื่อง ซึ่งระยะเวลาดังกล่าวนั้นมีตัวเลขที่แตกต่างกันไป เฉลี่ยอยู่ที่ประมาณ 5-7 วัน2
การมีทางเชื่อมระหว่างหลอดลมกับช่องเยื่อหุ้มปอดนั้นสามารถเกิดขึ้นตามหลังการผ่าตัดปอดได้ทั้งการผ่าตัดชนิด pneumonectomy, lobectomy รวมทั้ง segmentectomy โดยพบอุบัติการณ์ของการเกิดรูรั่วดังกล่าวหลังการผ่าตัดมีความแตกต่างกันออกไป พบว่าในการผ่าตัดชนิด pneumonectomy สามารถพบได้ร้อยละ 4.5-20 ในขณะที่การผ่าตัดชนิด lobectomy พบอุบัติการณ์การเกิดที่น้อยกว่าคือเพียงร้อยละ0.1-1 ของการผ่าตัดเท่านั้น3 แต่การเกิดทางเชื่อมระหว่างหลอดลมกับช่องเยื่อหุ้มปอดทำให้เกิดภาวะแทรกซ้อนในผู้ป่วยได้สูงถึงร้อยละ 25-70 ในผู้ป่วยหลังการผ่าตัดปอด4 ทำให้ผู้ป่วยต้องนอนโรงพยาบาลนานมากขึ้น และทำให้ผู้ป่วยมีอัตราการเสียชีวิตที่สูงมากถึงร้อยละ 20 ถึงร้อยละ 70 1,5 โดยสาเหตุหลักของการเสียชีวิตในผู้ป่วยคือการเกิดภาวะปอดอักเสบติดเชื้อจากการสำลัก (aspiration pneumonia) หนองที่อยู่ในช่องเยื่อหุ้มปอดที่ติดเชื้อ สาเหตุรองลงมาคือการเกิดภาวะการหายใจล้มเหลวเฉียบพลัน (acute respiratory distress syndrome)6
โดยภาวะแผลรูเชื่อมระหว่างหลอดลมและช่องเยื่อหุ้มปอดนั้นอาจแบ่งได้หลายแบบ เช่น การแบ่งตามความสัมพันธ์กับการผ่าตัด (แผลรูเชื่อมที่เกิดขึ้นหลังการผ่าตัดปอด และแผลรูเชื่อมที่ไม่สัมพันธ์กับการผ่าตัด) หรือแบ่งตามตำแหน่งของรูรั่วที่ประเมินได้โดยการเห็นจากการส่องกล้องทางเดินหายใจ (ส่วนกลาง (central) และส่วนปลาย (peripheral)) เป็นต้น1
สาเหตุ (Etiology)7-9
จากการศึกษาในอดีตพบว่ามีปัจจัยเสี่ยงหลายปัจจัยที่ส่งผลให้เกิดภาวะแผลรูเชื่อมระหว่างหลอดลมและช่องเยื่อหุ้มปอดหลังการผ่าตัดปอดและหลอดลม โดยพบได้บ่อยในผู้ป่วยหลังการผ่าตัดปอด เช่น การผ่าตัด ยpneumonectomy การผ่าตัดปอดด้านขวา (เนื่องจากต้องมีการผ่าตัดที่มากกว่า (extensive resection)) การผ่าตัดที่แผลเย็บมีขนาดใหญ่ (large bronchial stump) โดยเฉพาะเมื่อขนาดเกินกว่า 25มิลลิเมตร การผ่าตัดที่ยังหลงเหลือเซลล์มะเร็งบริเวณรอยต่อ (residual tumor) หรือการที่ผู้ป่วยต้องเข้ารับการฉายแสงหรือยาเคมีบำบัดหลังการผ่าตัด รวมถึงการที่ผู้ป่วยต้องใช้เครื่องช่วยหายใจหลังการผ่าตัด เป็นต้น โดยมักพบรูรั่วบริเวณแผลผ่าตัดนั้นมักพบในฝั่งตรงข้ามกับปอดส่วนที่เหลือ เนื่องจากเป็นบริเวณที่มีความเสี่ยงในการขาดเลือดมากกว่าและมักมีสารคัดหลั่ง (secretion) ไปค้างมากกว่า ทำให้มีเชื้อแบคทีเรียเติบโตได้มากกว่าในบริเวณดังกล่าว
นอกเหนือจากปัจจัยด้านการผ่าตัดแล้ว พบว่าผู้ป่วยที่มีภาวะปอดอักเสบที่รุนแรงชนิด necrotizing pneumonia จากเชื้อต่างๆ การที่มีภาวะโพรงฝีในปอด (lung abscess) ก็เป็นสาเหตุหนึ่งที่ทำให้เกิดภาวะดังกล่าวได้ นอกจากนี้อุบัติเหตุที่มีการทะลุเข้าเนื้อปอด (penetrating trauma) รวมถึงอุบัติเหตุจากการทำหัตถการการเจาะน้ำในช่องเยื่อหุ้มปอด (thoracentesis) หรือการตัดชิ้นเนื้อเยื่อหุ้มปอด (pleural biopsy) ก็เป็นสาเหตุของภาวะดังกล่าวได้ด้วยเช่นกัน
ปัจจัยด้านการรักษาสามารถเพิ่มความเสี่ยงในการเกิดภาวะแทรกซ้อนนี้ได้ เช่น การรักษาด้วยการฉายรังสีและการให้ยาเคมีบำบัด การรักษาด้วยยาคอร์ติโคสเตอรอยด์ นอกจากนี้พบว่าปัจจัยด้านตัวผู้ป่วยเองก็มีส่วนในการส่งเสริมให้เกิดภาวะรูรั่วดังกล่าวด้วย เช่น ผู้ป่วยโรคมะเร็ง โดยเฉพาะมะเร็งปอด มะเร็งหลอดอาหาร มะเร็งไทรอยด์ และมะเร็งต่อมน้ำเหลือง เนื่องจากผู้ป่วยกลุ่มนี้มักต้องเข้ารับการรักษาด้วยยาเคมีบำบัดหรือเข้ารับการฉายรังสีซึ่งมักรวมถึงบริเวณปอดหรือหลอดลมร่วมด้วย ผู้ป่วยโรคเบาหวาน ผู้ป่วยที่มีภาวะทุพโภชนาการ ผู้ป่วยที่สูบบุหรี่หรือมีโรคปอดอุดกั้นเรื้อรัง หรือผู้ป่วยโรคมะเร็ง เป็นต้น ซึ่งอธิบายได้จากการที่ผู้ป่วยมีความเสี่ยงที่จะมีการหายของแผลต่างๆ ได้ช้ากว่าคนปกติทั่วไป
ลักษณะทางคลินิก (Clinical presentation)10-11
ภาวะแผลรูเชื่อมระหว่างหลอดลมและช่องเยื่อหุ้มปอดที่เกิดภายหลังการผ่าตัดทรวงอกนั้นสามารถแยกออกได้เป็น 3 แบบตามระยะเวลาหลังการผ่าตัด คือ แบบเฉียบพลัน (acute, ใน 1 สัปดาห์), กึ่งเฉียบพลัน (subacute, 1 สัปดาห์ ถึง 1 เดือน) และเรื้อรัง (chronic, นานกว่า 1 เดือน) การเกิดแบบเฉียบพลันนั้นมักเกิดจากการปริแยกของแผลผ่าตัดที่หลอดลมซึ่งจำเป็นต้องรีบแก้ไขโดยเฉพาะกรณีที่เกิดขึ้นใน 4 วัน เนื่องจากอาจทำให้เกิดภาวะลมรั่วในช่องเยื่อหุ้มปอดที่รุนแรง (tension pneumothorax) หรือภาวะปอดอักเสบรุนแรงจากการสำลักน้ำผ่านรอยรั่ว (pulmonary flooding) ผู้ป่วยมักมีอาการเหนื่อยแบบเฉียบพลัน ความดันโลหิตต่ำ ไอมีเสมหะเป็นหนองหรือน้ำจากช่องเยื่อหุ้มปอด ลมรั่วในช่องเยื่อหุ้มปอดตลอดเวลา (persistent air leak) หรือการที่ปริมาณน้ำในช่องเยื่อหุ้มปอดลดลงหรือหายไปจากภาพถ่ายรังสีทรวงอก
การเกิดแบบกึ่งเฉียบพลันหรือแบบเรื้อรังนั้นมักสัมพันธ์กับการติดเชื้อ โดยมักพบได้บ่อยในผู้ป่วยที่มีภูมิคุ้มกันบกพร่อง(immunocompromised) หรือรายที่มีโรคประจำตัวมาก โดยผู้ป่วยมักมีอาการไข้ อ่อนเพลีย น้ำหนักลดลง โดยปกติในผู้ป่วยที่เข้ารับการผ่าตัดปอด หลังการผ่าตัดจะพบว่ามีน้ำในช่องเยื่อหุ้มปอดมาแทนที่เนื้อปอดส่วนที่ตัดออกไป ในรายที่ภาวะแผลรูเชื่อมระหว่างหลอดลมและช่องเยื่อหุ้มปอดเกิดแบบกึ่งเฉียบพลัน หรือแบบเรื้อรังนั้นจะพบการเปลี่ยนแปลงของภาพรังสีทรวงอกเช่นเห็นระดับน้ำเกิดขึ้น (air-fluid level, hydropneumothorax) หรือมีฟองอากาศช่องเยื่อหุ้มปอดซึ่งเป็นลักษณะของการติดเชื้อในช่องเยื่อหุ้มปอด (empyema thoracis) หรือในรายที่เป็นเรื้อรังจะพบพังผืดเกิดขึ้นในช่องเยื่อหุ้มปอด (pleural fibrosis)
สำหรับการประเมินความรุนแรงของรอยรั่วที่เกิดขึ้นนั้น สามารถประเมินได้หลายวิธี โดยวิธีที่นิยมใช้กันทั่วไปคือการแบ่งระดับความรุนแรงตามปริมาณลมที่ถูกระบายออกมา โดยอาจสามารถแบ่งเป็น 5 ระดับ12 คือ
ตารางที่ 1 ระดับความรุนแรงของภาวะลมรั่วในช่องเยื่อหุ้มปอด
| ระดับ | คำนิยาม |
| 0 | ไม่มีฟองอากาศหลังจากให้ผู้ป่วยไอ 3 ครั้งติดกัน |
| 1 | มีฟองอากาศมากกว่า1ฟองหลังจากให้ผู้ป่วยไอ 3 ครั้งติดกัน |
| 2 | มีฟองอากาศออกต่อเนื่องขณะให้ผู้ป่วยไอ |
| 3 | มีฟองอากาศออกเล็กน้อยในขณะที่ผู้ป่วยหายใจปกติ |
| 4 | มีฟองอากาศออกปริมาณมากขณะที่ให้ผู้ป่วยหายใจปกติ |
การตรวจวินิจฉัย (Investigation)
การตรวจทางรังสีวิทยา (Radiology)
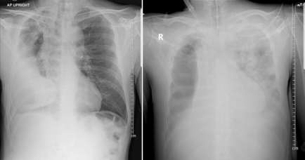
ภาพถ่ายรังสีทรวงอก (chest radiography) มักแสดงลักษณะที่ไม่จำเพาะเจาะจง โดยมากมักต้องอาศัยลักษณะอาการและภาพถ่ายรังสีทรวงอกเก่าเปรียบเทียบ โดยอาจพบการเปลี่ยนแปลงหรือหายไปของน้ำในช่องเยื่อหุ้มปอด (pleural effusion) (ดังรูปที่ 1) หรือพบลักษณะของฟองอากาศ (air bubbles) เกิดขึ้นใหม่ภายในโพรงน้ำในช่องเยื่อหุ้มปอด โดยอาจเห็นร่วมกับการเกิดเงาฝ้าขึ้นใหม่ในปอดส่วนอื่น (ดังรูปที่ 1)

เป็นภาพถ่ายรังสีทรวงอกเดิม แสดงให้เห็นโพรงน้ำในช่องเยื่อ หุ้มปอดด้านขวาที่มีอยู่เดิม ขวา
เป็นภาพถ่ายรังสีทรวงอกใหม่ แสดงให้เห็นถึงการหายไปของน้ำในช่องเยื่อหุ้มปอดด้านขวา โดยมีลมเข้ามาแทรกแทน ร่วมกับเกิดเงาฝ้าขึ้นใหม่ในปอดด้านซ้าย
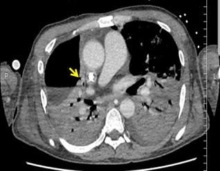
ภาพถ่ายรังสีคอมพิวเตอร์ (chest computed tomography) มักพบลักษณะโพรงน้ำและอากาศในช่องเยื่อหุ้มปอด (hydropneumothorax) โดยอาจพบลักษณะของฟองอากาศที่เกิดขึ้นภายในร่วมด้วย และพบเงาฝ้าเกิดขึ้นในบริเวณอื่น ทั้งนี้อาจะพบตำแหน่งรูรั่วที่เป็นทางเชื่อมระหว่างแขนงหลอดลมกับช่องเยื่อหุ้มปอดได้ ดังรูปที่ 2 โดยโอกาสที่จะตรวจพบรูรั่วดังกล่าวนั้นมีประมาณร้อยละ 5013

การส่องกล้องตรวจหลอดลม (Bronchoscopy)
การส่องกล้องตรวจหลอดลมเป็นการตรวจที่สำคัญเนื่องจากช่วยในการวินิจฉัยภาวะแผลรูเชื่อมระหว่างหลอดลมและช่องเยื่อหุ้มปอด โดยเฉพาะในรายที่รอยรั่วอยู่ในหลอดลมแขนงใหญ่ส่วนกลาง หรือในรายที่เข้ารับการผ่าตัดทรวงอกมาก่อน นอกจากนี้ยังเป็นการช่วยตรวจแยกวินิจฉัยโรคอื่นๆที่มีลักษณะอาการใกล้เคียงกันได้ โดยเฉพาะโรคปอดอักเสบติดเชื้อและวัณโรค โดยอาจพบลักษณะแผลที่เป็นรอยรั่วขอบเขตชัด แผลที่เป็นรอยรั่วที่มีเนื้อตาย (necrotic tissue) ปกคลุมอยู่ หรือในบางครั้งที่ลักษณะแผลผ่าตัดอาจพบว่าปกติได้ โดยในรายที่เห็นรอยรั่วดังกล่าวไม่ชัดเจน อาจใช้วิธีการพรมน้ำเกลือผ่านทางกล้องส่องหลอดลม ลงบนพื้นผิวบริเวณดังกล่าว แล้วสังเกตฟองอากาศที่จะเกิดขึ้น นอกจากนี้ยังมีรายงานการใช้สาร methylene blue ฉีดเข้าช่องเยื่อหุ้มปอดผ่านทางสายระบายจากทรวงอก (chest drain) ร่วมกับการส่องกล้องหลอดลม โดยการดูสี methylene blue ที่ซึมผ่านเข้ามาในหลอดลม เพื่อช่วยระบุตำแหน่งของรอยรั่วที่ผู้ป่วยมี ดังรูปที่ 3

แสดงรอยแผลผ่าตัดหลอดลม (bronchial stump) ที่มีเนื้อตายปกคลุมอยู่ กลาง
แสดงฟองอากาศที่เกิดขึ้นบนรอยรั่วบนรอยแผลผ่าตัดหลอดลม ขวา
ภาพหลอดลมที่มีสี methylene blue ซึมผ่านจากช่องเยื่อหุ้มปอดเข้ามาภายในหลอดลม
การหาตำแหน่งรอยรั่วโดยการใช้ pulmonary balloon catheter
ในรายที่ไม่สามารถระบุตำแหน่งรอยรูรั่วได้จากการส่องกล้องตรวจหลอดลม หรือในรายที่สงสัยรอยรั่วจากหลอดลมส่วนปลายหรือจากถุงลม (peripheral bronchopleural fistula หรือ alveolopleural fistula) นั้น การใช้อุปกรณ์ที่มีบอลลูนในส่วนปลาย (pulmonary balloon catheter) อุดในหลอดลมแขนงต่างๆ ทีละแขนง แล้วสังเกตลมรั่วที่ถูกระบายออกว่าหมดไปหรือไม่ ซึ่งสามารถช่วยในการระบุตำแหน่งของรอยรั่วที่ผู้ป่วยมีได้

เนื่องจากการส่องกล้องทางเดินหายใจร่วมกับการใช้ pulmonary balloon catheter แล้วสังเกตฟองอากาศที่ถูกระบายออกนั้นอาจมีความคลาดเคลื่อนหรือความผิดพลาดได้ จึงมีรายงานการใช้เทคนิคอื่น เช่น การตรวจระดับก๊าซคาร์บอนไดออกไซด์ที่ปลายสาย pulmonary balloon catheter หลังจากอุดหลอดลมแล้วเป็นเวลา 15-20 วินาที ซึ่งจะพบว่าในแขนงหลอดลมที่มีรูรั่วมีระดับก๊าซคาร์บอนไดออกไซด์ต่ำกว่าหลอดลมปกติ ซึ่งเฉลี่ยแล้วพบว่าค่าที่วัดได้จะต่ำกว่าประมาณ 5 มิลลิเมตรปรอท14 นอกจากนี้ยังมีการใช้อุปกรณ์ร่วมกับระบบประมวลผลที่ชื่อ Chartis system™ ที่ใช้วัดความดันหลังการอุดด้วยบอลลูน ซึ่งโดยปกติใช้ในการวัดหา collateral ventilation ในโรคปอดอุดกั้นเรื้อรัง มาร่วมใช้ในการหาตำแหน่งรูรั่วที่เกิดขึ้น15
การดูแลรักษา (Management)
การใส่สายระบายจากทรวงอก (chest drain)16
การใส่สายระบายจากทรวงอกนั้นช่วยในการระบายอากาศ (pneumothorax) และน้ำในช่องเยื่อหุ้มปอด (effusion) ซึ่งในบางครั้งอาจกลายเป็นโพรงหนอง (empyema thoracis) ได้ เป็นสิ่งแรกที่ควรคำนึงถึง ซึ่งเป็นการช่วยลดการปนเปื้อน (decontamination) และระบายหนองที่ตกค้างภายใน โดยควรรีบทำในรายที่ยังไม่ได้ใส่สายดังกล่าว ในรายที่ใส่สายดังกล่าวแล้วก็ควรที่จะประเมินประสิทธิภาพการทำงานของสายว่าดีหรือไม่ อาจต้องมีการปรับเปลี่ยนตำแหน่งสาย หรือต้องใส่สายมากกว่า 1 เส้น หรือต้องใช้การตรวจภาพถ่ายรังสีคอมพิวเตอร์หรือทำultrasonography ช่วยในการวางตำแหน่งสาย ทั้งนี้เพื่อให้การระบายอากาศและของเหลวที่มีอยู่นั้นทำได้อย่างมีประสิทธิภาพ สายระบายดังกล่าวควรเป็นสายที่มีเส้นผ่านศูนย์กลางขนาดใหญ่และมีความยาวไม่มาก สายดังกล่าวควรต่อลงขวดระบายโดยใช้ระบบระบายชนิดunder water sealed bottle และพยายามหลีกเลี่ยงการใช้ negative pressure suction เนื่องจากอาจทำให้รูรั่วที่มีนั้นไม่ปิด หรือปิดช้าลงได้ หากจำเป็นต้องใช้ในรายที่ลมรั่วออกปริมาณมากแม้ว่าจะได้ทำการใส่สายระบายหลายเส้นแล้วไม่ดีขึ้นนั้น ควรใช้แรงดันลบที่น้อยที่สุดที่สามารถระบายลมออกได้ เพื่อป้องกันการเกิดรูรั่วถาวร (fistula tract)
การรักษาแบบประคับประคองและการดูแลทั่วไป16-18
การดูแลประคับประคองในผู้ป่วยที่มีภาวะแผลรูเชื่อมระหว่างหลอดลมและช่องเยื่อหุ้มปอดนั้นถือว่ามีความสำคัญมาก เนื่องจากผู้ป่วยส่วนใหญ่มักมีลักษณะอาการและสุขภาวะที่ไม่ดี และมีความเสี่ยงที่จะเกิดภาวะแทรกซ้อนรวมถึงเสียชีวิตที่สูง การรักษาด้วยยาปฏิชีวนะนั้นมีความจำเป็นเนื่องจากผู้ป่วยมักจะมีการติดเชื้อในช่องเยื่อหุ้มปอด หรือเกิดโพรงหนองในช่องเยื่อหุ้มปอดร่วมด้วยได้ ยาปฏิชีวนะที่ใช้นั้นควรครอบคลุมเชื้อทั้งแกรมบวก แกรมลบ และเชื้อในกลุ่ม anaerobe เนื่องจากมีโอกาสที่จะปนเปื้อนเชื้อจากการสำลักหรือทางเดินอาหารร่วมด้วยได้
การให้การรักษาด้วยโภชนบำบัด ภาวะทุพโภชนาการนั้นนอกจากเป็นปัจจัยเสี่ยงของการเกิดภาวะแผลรูเชื่อมระหว่างหลอดลมและช่องเยื่อหุ้มปอดแล้ว จะเป็นผลสืบเนื่องตามหลังได้ด้วย8 เช่นเดียวกับโรคอื่นๆที่ภาวะทุพโภชนาการนี้ส่งผลเกิดภาวะแทรกซ้อนในผู้ป่วยและเพิ่มอัตราการเสียชีวิตของผู้ป่วย19
การให้การรักษาด้วยการทำกายภาพบำบัดต่างๆ ทั้งการฝึกการหายใจ การฝึกการไออย่างมีประสิทธิภาพ รวมถึงการจัดท่าทางเพื่อระบายเสมหะต่างๆ นั้น เป็นการรักษาที่อาจทำควบคู่ไปกับการรักษาอื่น แต่ทั้งนี้ไม่มีการศึกษาที่น่าเชื่อถือรับรองผลของการรักษาดังกล่าว นอกจากนี้การจัดท่าทางเพื่อระบายเสมหะ หรือน้ำในช่องเยื่อหุ้มปอดนั้นต้องคำนึงถึงความปลอดภัยของผู้ป่วยด้วย เนื่องจากมีโอกาสที่ผู้ป่วยจะสำลักน้ำหรือหนองผ่านรูรั่วเข้าไปยังปอดฝั่งตรงข้าม ซึ่งจะยิ่งทำให้ผู้ป่วยมีอาการเลวลงอย่างรวดเร็วได้
ในรายที่มีปัญหาด้านการหายใจ มีระบบการหายใจล้มเหลว การช่วยประคับประคองการหายใจ (respiratory support) ด้วยอุปกรณ์ต่างๆนั้นมีความจำเป็น ดังที่กล่าวข้างต้นควรหลีกเลี่ยงการช่วยหายใจแรงดันบวก (positive pressure ventilation) แต่ในรายที่มีระบบการหายใจล้มเหลวนั้นอาจหลีกเลี่ยงการใช้อุปกรณ์ดังกล่าวไม่ได้ การตั้งเครื่องช่วยหายใจในผู้ป่วยที่มีภาวะแผลรูเชื่อมระหว่างหลอดลมและช่องเยื่อหุ้มปอดนั้นมีหลักการในการตั้งเครื่องช่วยหายใจกว้างๆ ดังต่อไปนี้16
- พยายามหลีกเลี่ยงการใช้เครื่องช่วยหายใจโดยไม่จำเป็น หรือหยุดใช้ให้เร็วที่สุดเมื่อหมดข้อบ่งชี้
- สามารถเลือกใช้ได้ทั้งแบบ pressure support ventilation, pressure-control หรือ volume-control ventilation ได้
- ตั้งเครื่องช่วยหายใจโดยใช้ปริมาตรอากาศที่หายใจ (tidal volume ventilation) และความดันบวกขณะหายใจออกสุด (positive end expiratory pressure, PEEP) ให้น้อยที่สุด
- ค่าความดันสูงสุดขณะหายใจเข้า (peak inspiratory pressure) ให้น้อยกว่า 30 เซนติเมตรน้ำ และระยะเวลาช่วงการหายใจเข้า (inspiratory time) ให้สั้น โดยยอมรับภาวะ permissive hypercapnia ที่อาจเกิดขึ้น
- พยายามแก้ไขภาวะความไม่สัมพันธ์ระหว่างเครื่องช่วยหายใจและผู้ป่วยที่อาจเกิดขึ้น เช่น missed triggering, auto-triggering, delayed cycling อันเป็นผลที่เกิดจากภาวะแผลรูเชื่อมระหว่างหลอดลมและช่องเยื่อหุ้มปอด
ในรายที่ไม่ตอบสนองต่อการใช้เครื่องช่วยหายใจแบบทั่วไปนั้น อาจใช้การช่วยหายใจโดยวิธีพิเศษอื่นๆ เช่น การใช้ระบบ neurally adjusted ventilatory assist (NAVA) เพื่อลดความไม่สัมพันธ์กันระหว่างผู้ป่วยกับเครื่องช่วยหายใจ20 high frequency oscillatory ventilation (HFOV) เพื่อลดปริมาตรอากาศที่ไหลผ่านรูเชื่อมที่มีอยู่ และลดค่าความดันสูงสุดขณะหายใจเข้า (peak inspiratory pressure) รวมถึงลดความเข้มข้นของออกซิเจนที่ใช้ในการหายใจเข้า ซึ่งทำให้แผลที่มีหายเร็วขึ้น 16,21-22 independent lung ventilation เป็นการใช้เครื่องช่วยหายใจ 2 เครื่องในการช่วยหายใจปอด 2 ข้าง ซึ่งมีคุณลักษณะหรือคุณสมบัติในการแลกเปลี่ยนก๊าซที่แตกต่างกัน เป็นการช่วยเพิ่มประสิทธิภาพในการแลกเปลี่ยนก๊าซและช่วยป้องกันการบาดเจ็บของเนื้อปอดจากการตั้งเครื่องช่วยหายใจที่ไม่เหมาะสม แต่การใช้วิธีดังกล่าวจำเป็นต่อใช้ความชำนาญอย่างมาก ควรใช้ท่อหายใจที่แยกปอดทั้งสองข้างจากกัน (double lumen endotracheal tube) และมีความจำเป็นต้องใช้ยา sedation และ paralysis ร่วมด้วยเสมอ และสุดท้ายในรายที่มีภาวะพร่องออกซิเจนหรือระบบการหายใจล้มเหลวที่แก้ไขไม่ได้ การใช้ extracorporeal membrane oxygenation (ECMO)16 นั้นอาจเป็นทางเลือกหนึ่งที่นำมาใช้เพื่อประคับประคองผู้ป่วยระหว่างรอแผลรูเชื่อมหายหรือก่อนเข้ารับการรักษาด้วยวิธีอื่น
การรักษาด้วยการผ่าตัด (Surgical management)23-25
การผ่าตัดเป็นการแก้ไขภาวะแผลรูเชื่อมระหว่างหลอดลมและช่องเยื่อหุ้มปอด ซึ่งมีโอกาสหายขาดได้ค่อนข้างสูง การผ่าตัดสามารถทำได้โดยหลายเทคนิค แต่การตัดสินใจที่จะผ่าตัดผู้ป่วยโดยเทคนิคใดหรือในช่วงเวลาใดนั้นขึ้นอยู่กับหลายปัจจัยโดยเฉพาะเรื่องความพร้อมทางร่างกายของผู้ป่วยและสภาพหรือการปนเปื้อนในช่องเยื่อหุ้มปอด ในผู้ป่วยที่สภาพร่างกายไม่พร้อมหรือมีการปนเปื้อนในช่องเยื่อหุ้มปอดนั้น การใส่สายระบาย การให้ยาปฏิชีวนะ ร่วมกับรักษาแบบประคับประคองและการให้โภชนบำบัด น่าจะเป็นแนวทางที่เหมาะสม ส่วนในรายที่พบรูรั่วหลังการผ่าตัดทรวงอกใหม่ๆนั้น การรีบผ่าตัดซ้ำเพื่อซ่อมแซมเป็นการช่วยแก้ไขภาวะดังกล่าวและช่วยป้องกันภาวะแทรกซ้อนอื่นที่จะเกิดขึ้นตามมาได้ ความสำเร็จในการผ่าตัดแก้ไขในแต่ละราย ในแต่ละเทคนิคนั้นมีความแตกต่างกันออกไปตั้งแต่ร้อยละ 60 ถึง 90
การผ่าตัดแก้ไขนั้นมีด้วยกันหลายเทคนิคขึ้นมีตั้งแต่การผ่าตัด debridement เพื่อนำ necrotic tissue ออกและทำการล้างเอาสิ่งปนเปื้อนออกจากช่องเยื่อหุ้มปอด การผ่าตัด reclosure เพื่อซ่อมแซมรูรั่วโดยการใช้ vascularized flap tissue (เช่น omentum, pericardial fat pad, กล้ามเนื้อทรวงอก เป็นต้น) เพื่อมาปิดรูรั่วที่มี ไปจนถึงการผ่าตัด Eloesser flap เพื่อเปิดระบายสิ่งปนเปื้อนออกจากช่องเยื่อหุ้มปอดออกสู่ภายนอก อันเป็นการผ่าตัดแบบชั่วคราว ในรายที่ไม่สามารถทนการผ่าตัดที่นานได้ แล้วรอให้สภาพร่างกายดีขึ้นจึงค่อยไปเข้ารับการผ่าตัดแก้ไขในขั้นสุดท้ายต่อไป
การรักษาโดยเทคนิคการส่องกล้องตรวจหลอดลม (Bronchoscopic management)
การส่องกล้องหลอดลมร่วมกับการทำหัตถการทางหลอดลมนั้นเป็นทางเลือกหนึ่งที่นำมาใช้เพื่อช่วยรปิดรูรั่วที่มี โดยสามารถที่จะช่วยปิดรูรั่วดังกล่าวได้ทั้งส่วนที่อยู่ตรงกลางและส่วนปลายด้วยเทคนิคที่แตกต่างกันไป แม้ว่าจะสามารถปิดรอยรั่วได้สำเร็จตามแต่ก็พบว่าผู้ป่วยที่มีภาวะแผลรูเชื่อมระหว่างหลอดลมและช่องเยื่อหุ้มปอดนั้นยังคงมีอัตราการเสียชีวิตที่สูงถึงร้อยละ 40 การส่องกล้องหลอดลมร่วมกับการทำหัตถการทางหลอดลมนั้นไม่ควรที่จะนำมาเปรียบเทียบหรือทดแทนกับการผ่าตัดในรายที่สามารถผ่าตัดได้ แต่ควรที่จะพิจารณาเลือกวิธีการดังกล่าวในผู้ป่วยที่สภาพร่างกายยังไม่เหมาะสมหรือไม่พร้อมที่จะเข้ารับการผ่าตัด หรือการผ่าตัดนั้นมีความเสี่ยงต่อผู้ป่วยอย่างมาก เช่นใช้การรักษาด้วยการส่องกล้องเพื่อรักษาผู้ป่วยในช่วงแรก จากนั้นให้การรักษาประคับประคองและให้โภชนบำบัด จนผู้ป่วยมีสภาพร่างกายที่พร้อมจึงให้ผู้ป่วยเข้ารับการผ่าตัดแก้ไขต่อไป เป็นต้น
การส่องกล้องหลอดลมร่วมกับการทำหัตถการทางหลอดลมนั้นมีหลายวิธีที่สามารถทำได้ เช่น
Tissue sealant and glue7,26 เป็นการใช้สารที่มีคุณสมบัติคล้ายกาวฉีดลงบนรูรั่วที่พบ (ในรายที่รูรั่วอยู่ในส่วนกลางหรืออยู่บนแผลผ่าตัดหลอดลม) หรือฉีดอุดแขนงหลอดลมขนาดเล็กโดยใช้ร่วมกับ pulmonary balloon ในรายที่รูรั่วอยู่ส่วนปลายที่มองไม่เห็นจากการส่องกล้องทางเดินหายใจ ตัวอย่างสารที่นำมาใช้เช่น ดfibrin glue (Coseal), polyethylene glycol (FocalSeal-L), albumin derivative (Cryolife), cyanoacrylate glue (Histoacryl), oxidized regenerated cellulose (Surgicel) เป็นต้น โดยมีข้อพึงระวังระหว่างการใช้คือผู้ป่วยควรที่จะได้รับการ sedation ที่เพียงพอเพื่อไม่ให้ผู้ป่วยไอหรือหายใจที่แรง ระวังสารที่ฉีดเข้าไปโดนหน้าเลนส์ของกล้องโดยการฉีดสารดังกล่าวให้ห่างจากหน้ากล้องพอควรและระวังการไหลกลับของสารระหว่างการฉีด ระหว่างการทำหัตถการห้ามทำการ suction เด็ดขาด เนื่องจากสารดังกล่าวหากเข้ามาอยู่ใน working channel จะทำให้กล้องเสียหายได้เช่นกัน ดังนั้นการฉีดจึงต้องทำผ่านสาย catheter เท่านั้นและเมื่อฉีดเสร็จแล้ว ห้ามดึงสายดังกล่าวกลับเข้ามาในกล้อง ให้นำออกจากตัวผู้ป่วยพร้อมกล้อง แล้วค่อยนำสายออกจาก working channel เมื่อสารที่ฉีดแห้งสนิทแล้วเท่านั้น
การใช้สารในกลุ่ม sclerosing agents เพื่อให้เกิดแผลพังผืดขึ้นมาปิดรูรั่วดังกล่าว7 เช่น การใช้ absolute ethanol27 ฉีดเข้าบริเวณปากแผลรูรั่ว การฉีดยาปฏิชีวนะ tetracycline หรือ doxycycline เข้าไปในหลอดลมส่วนที่พบรูรั่วในส่วนปลายโดยผ่าน pulmonary balloon28,29 หรือการใช้เลเซอร์หรือการจี้ด้วยความร้อนเพื่อให้เกิดพังผืดมาปิดรอยรั่ว 30
การใส่ one-way endobronchial valve7 ซึ่งโดยปกติใช้ในการรักษาผู้ป่วยโรคปอดอุดกั้นเรื้อรังชนิด emphysema เพื่อลดขนาดของปอด โดยหลักการคือการลดปริมาตรอากาศที่ไหลผ่านเข้าไปในหลอดลมที่ผ่านไปยังรูรั่วที่มี ทำให้แผลรูรั่วปิดตัวลงในที่สุด โดยผลการศึกษาก่อนหน้านี้พบว่าร้อยละ 66 ของผู้ป่วยไม่มีลมรั่วออกมาให้เห็นอีกในระยะเวลา 24 ชั่วโมงหลังการใส่อุปกรณ์ดังกล่าว บางรายยังมีลมรั่วอยู่บ้างแต่ลดลง โดยมีเพียงร้อยละ 5 ที่ไม่ตอบสนองต่อการรักษาเลย31-32
การใช้อุปกรณ์ต่างๆ เข้าไปเพื่อปิดหลอดลมที่ผ่านไปยังรูรั่ว เช่น การใช้ท่อค้ำยันหลอดลมที่ออกแบบพิเศษเพื่อปิดหลอดลมบางส่วน(customized airway stenting)33, Amplatzer device34 ซึ่งปกติใช้ในการปิดรูรั่วระหว่างผนังห้องหัวใจ นำมาใช้เพื่อปิดรูรั่วของหลอดลม ซึ่งผลการรักษาพบว่าสามารถปิดการรั่วของลมได้มากกว่าร้อยละ 90 แต่ทั้งสองอุปกรณ์นี้ยังมีข้อมูลการศึกษาค่อนข้างน้อยและยังไม่เป็นที่นิยมมากนัก endobronchial Watanabe Spigot เป็นอีกอุปกรณ์หนึ่งที่ใช้เพื่ออุดหลอดลมที่ผ่านไปยังรูรั่วภายใน ซึ่งสามารถใส่ได้ไม่ยากและให้ผลการรักษาที่ค่อนข้างดี พบว่าสามารถช่วยให้รูรั่วที่มีอยู่ปิดได้ถึงร้อยละ 83 โดยที่ใช้ระยะเวลาในการใส่ที่ไม่นานโดยเฉลี่ยอยู่ที่ประมาณ 3-5 นาที ซึ่งอาจจะเหมาะสมในผู้ป่วยที่ทนต่อการทำหัตถการที่นานไม่ได้35 แต่มีข้อพึงระวังเล็กน้อยคือการใส่อุปกรณ์ดังกล่าวอาจทำให้เกิดภาวะปอดอักเสบตามมาได้หลังการใส่ และในบางครั้งพบว่าอาจมีการเคลื่อนหลุดไปยังหลอดลมส่วนอื่นได้ ดังรูปที่ 6


สรุป
ภาวะแผลรูเชื่อมระหว่างหลอดลมและช่องเยื่อหุ้มปอดเป็นภาวะแทรกซ้อนที่เกิดขึ้นได้จากหลายเหตุปัจจัย โดยสามารถเกิดได้ทั้งในผู้ป่วยอายุรกรรมและศัลยกรรมที่มาเข้ารับการผ่าตัดทรวงอก ภาวะดังกล่าวก่อให้เกิดอัตราการเสียชีวิตที่สูงขึ้น อัตราการนอนโรงพยาบาลที่นานมากขึ้น การวินิจฉัยที่รวดเร็วเป็นส่วนหนึ่งในการรักษาที่สำคัญ การดูแลรักษาผู้ป่วยจำเป็นต้องใช้การรักษาหลายอย่างร่วมกัน ทั้งการใส่สายระบายทรวงอก การให้ยาปฏิชีวนะ การให้โภชนบำบัด ร่วมกับการผ่าตัดแก้ไขในรายที่รูรั่วนั้นไม่สามารถปิดเองได้ การรักษาด้วยการส่องกล้องหลอดลมร่วมกับการทำหัตถการหลอดลมเป็นอีกการรักษาหนึ่งที่สามารถนำมาใช้ร่วมกับการรักษาอื่นในผู้ป่วยที่อาจไม่พร้อมที่จะเข้ารับการผ่าตัดแก้ไข
เอกสารอ้างอิง
- Hollaus PH, Lax F, el-Nashef BB, Hauck HH, Lucciarini P, Pridun NS. Natural history of bronchopleural fistula after pneumonectomy: a review of 96 cases. Ann Thorac Surg 1997; 63:1391-6.
- Dugan KC, Laxmanan B, Murgu S, Hogarth DK. Management of Persistent Air Leaks. Chest 2017; 152:417-23.
- Alpert JB, Godoy MC, Degroot PM, Truong MT, Ko JP. Imaging the post-thoracotomy patient: anatomic changes and postoperative complications. Radiol Clin North Am 2014; 52:85-103.
- Nagahiro I, Aoe M, Sano Y, Date H, Andou A, Shimizu N. Bronchopleural fistula after lobectomy for lung cancer. Asian Cardiovasc Thorac Ann 2007; 151:45-8.
- Wain JC. Management of late postpneumonectomy empyema and bronchopleural fistula. Chest Surg Clin N Am 1996; 63:529-41.
- Baumann MH, Sahn SA. Medical management and therapy of bronchopleural fistulas in the mechanically ventilated patient. Chest 1990; 97:721-8.
- Armin Ernst FJFH. Principles and Practice of Interventional Pulmonology. New York, USA: Springer; 2013.
- Okuda M, Go T, Yokomise H. Risk factor of bronchopleural fistula after general thoracic surgery: review article. Gen Thorac Cardiovasc Surg 2017; 65:679-85.
- Wright CD, Wain JC, Mathisen DJ, Grillo HC. Post-pneumonectomy bronchopleural fistula after sutured bronchial closure: incidence, risk factors, and management. J Thorac Cardiovasc Surg 1996; 112:1367-71.
- Lois M, Noppen M. Bronchopleural fistulas: an overview of the problem with special focus on endoscopic management. Chest 2005; 128:3955-65.
- Leuzzi G, Facciolo F, Pastorino U, Rocco G. Methods for the postoperative management of the thoracic oncology patients: lessons from the clinic. Expert Rev Respir Med 2015; 9:751-67.
- Oh SG, Jung Y, Jheon S, et al. Postoperative air leak grading is useful to predict prolonged air leak after pulmonary lobectomy. J Cardiothorac Surg 2017; 12:1.
- Westcott JL, Volpe JP. Peripheral bronchopleural fistula: CT evaluation in 20 patients with pneumonia, empyema, or postoperative air leak. Radiology 1995; 196:175-81.
- Zeng YM, Chen YF, Lin HH, Zhang XB. Use of endo-bronchial end-tidal CO2 test for location of the pleural air leakage in patients with intractable pneumothorax. Ther Adv Respir Dis 2018; 12:1753465818756564.
- Tian Q, Qi F, An Y, Liu XC, Chen LA. Using the Chartis system to selectively target a lung segment with a persistent air leak. Eur Respir J 2013; 41:1461-3.
- Shekar K, Foot C, Fraser J, Ziegenfuss M, Hopkins P, Windsor M. Bronchopleural fistula: an update for intensivists. J Crit Care 2010; 25:47-55.
- Slade M. Management of pneumothorax and prolonged air leak. Semin Respir Crit Care Med 2014; 35:706-14.
- Baumann MH, Sahn SA. Medical management and therapy of bronchopleural fistulas in the mechanically ventilated patient. Chest 1990; 97:721-8.
- Nwiloh J, Freeman H, McCord C. Malnutrition: an important determinant of fatal outcome in surgically treated pulmonary suppurative disease. J Natl Med Assoc 1989; 81:525-9.
- Rozé H, Ouattara A. Use of neural trigger during neurally adjusted ventilatory assist in a patient with a large broncho-pleural fistula and air leakage. Intensive Care Med 2012; 38:922-3
- Ha DV, Johnson D. High frequency oscillatory ventilation in the management of a high output bronchopleural fistula: a case report. Can J Anaesth 2004; 51:78-83.
- Alohali AF, Abu-Daff S, Alao K, Almaani M. Ventilator Management of Bronchopleural Fistula Secondary to Methicillin-Resistant Staphylococcus aureus Necrotizing Pneumonia in a Pregnant Patient with Systemic Lupus Erythematosus. Case Rep Med 2017; 2017:1492910.
- Puskas JD, Mathisen DJ, Grillo HC, Wain JC, Wright CD, Moncure AC. Treatment strategies for bronchopleural fistula. J Thorac Cardiovasc Surg 1995; 109:989-95.
- Deschamps C, Pairolero PC, Allen MS, Trastek VF. Management of postpneumonectomy empyema and bronchopleural fistula. Chest Surg Clin N Am 1996; 6:519-27.
- Bribriesco A, Patterson GA. Management of postpneumonectomy bronchopleural fistula: from thoracoplasty to transsternal closure. Thorac Surg Clin 2018; 28:323-35.
- Blanca de VS, Vincente RF. Endoscopic cyanoacrylate for persistent air leak from a bronchopleural fistula in a patient with idiopathic pulmonary fibrosis. Arch Bronconeumol 2017; 53:163–174.
- Takaoka K, Inoue S, Ohira S. Cental bronchopleural fistulas closed by bronchoscopic injection of absolute ethanol. Chest 2002; 122:374-8.
- Lan RS, Lee CH, Tsai YH, Wang WJ, Chang CH. Fiberoptic bronchial blockade in a small bronchopleural fistula. Chest 1987; 92:944-6.
- Martin WR Siefkin AD, Allen R. Closure of a bronchopleural fistula with bronchoscopic instillation of tetracycline. Chest 1991; 99:1040-2.
- Kiriyama M, Fujii Y, Yamakawa Y, et al. Endobronchial neodymium:yttrium-aluminum garnet laser for noninvasive closure of small proximal bronchopleural fistula after lung resection. Ann Thorac Surg 2002; 73:945-8.
- Travaline JM, McKenna RJ, De Giacomo T, et al. Treatment of persistent pulmonary air leaks using endobronchial valves. Chest 2009; 136:355-60.
- Gkegkes ID, Mourtarakos S, Gakidis I. Endobronchial valves in treatment of persistent air leaks: a systematic review of clinical evidence. Med Sci Moni 2015; 21:432-8
- Han X, Yin M, Li L, et al. Customized airway stenting for bronchopleural fistula after pulmonary resection by interventional technique: single-center study of 148 consecutive patients. Surg Endosc 2018; 32:4116-24.
- Fruchter O, Kramer MR, Dagan T, et al. Endobronchial closure of bronchopleural fistulae using amplatzer devices: our experience and literature review. Chest 2011; 139:682-7.
- Morikawa S, Okamura T, Minezawa T, et al. A simple method of bronchial occlusion with silicone spigots (Endobronchial Watanabe Spigot; EWS®) using a curette. Ther Adv Respir Dis 2016; 10:518-24.
