รายงานผู้ป่วย
Case Report
PDF
Endobronchial Schwannoma:
Case Report
สรายุทธ เอี่ยมสอาด พ.บ.*
ศุภฤกษ์ ดิษยบุตร พ.บ.
แจ่มศักดิ์ ไชยคุนา พ.บ.
*แพทย์เฟลโลว์ อนุสาขาหัตถการวินิจฉัยและรักษาโรคระบบการหายใจ
สาขาวิชาโรคระบบการหายใจและวัณโรค
ภาควิชาอายุรศาสตร์ คณะแพทยศาสตร์ศิริราชพยาบาล มหาวิทยาลัยมหิดล
รับไว้ตีพิมพ์เมื่อวันที่ 8 พฤษภาคม 2562
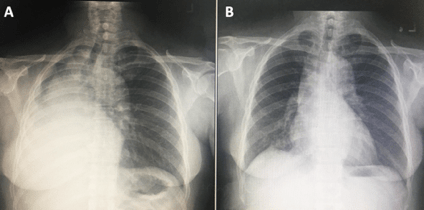
หญิงไทยคู่อายุ 48 ปี เป็นแม่บ้าน ภูมิลำเนาจังหวัดอุบลราชธานี มาโรงพยาบาลด้วยอาการหอบเหนื่อยขณะออกแรงมา 3 เดือน มีโรคประจำตัว ได้แก่ เบาหวานและความดันโลหิตสูงควบคุมได้ดี ไม่สูบบุหรี่ ปฏิเสธการเป็นวัณโรคหรือสัมผัสผู้ป่วยวัณโรคและไม่มีประวัติมะเร็งในครอบครัว 1 ปีก่อนมีไอแห้งเป็นๆ หาย ๆ ไม่มีไข้ ไม่เหนื่อย ไม่มีเจ็บหน้าอก 3 เดือนก่อน รู้สึกหายใจมีเสียงครืดคราด เหนื่อยเวลาออกแรง เดินได้ 200 เมตรต้องหยุดพัก ไม่มีไข้ ไม่มีไอเป็นเลือด ไม่มีน้ำหนักลด 1 เดือนก่อนไปพบแพทย์ที่โรงพยาบาลใกล้บ้าน ภาพถ่ายรังสีทรวงอกพบ right lung atelectasis (รูปที่ 1) และภาพถ่ายรังสีคอมพิวเตอร์ทรวงอก (computed tomography; CT) พบ endobronchial mass ที่ right main bronchus และ right lung atelectasis (รูปที่ 2) ได้รับการส่องกล้องหลอดลม (flexible bronchoscopy) พบ endobronchial mass at right main bronchus with total occlusion ผลการตรวจทางพยาธิวิทยาพบเป็น chronic inflammation จึงส่งมาตรวจเพิ่มเติมที่โรงพยาบาลศิริราช ตรวจร่างกายแรกรับ ไม่มีไข้, ความดันโลหิต 144/100 มม.ปรอท, ชีพจร 103 ครั้ง/นาที, อัตราการหายใจ 22 ครั้ง/นาที และ oxygen saturation 93% ไม่มีนิ้วปุ้ม ไม่บวม ตรวจระบบการหายใจพบ trachea shift to the right, decreased breath sound and vocal resonance on right lung with dullness on percussion ตรวจร่างกายระบบอื่นอยู่ในเกณฑ์ปกติ ตรวจ spriometry พบ severe restrictive ventilatory defect ผลการส่องกล้องหลอดลมพบรอยโรคดังรูปที่ 3



ผู้ป่วยได้รับการส่องกล้องหลอดลมชนิดแข็ง (rigid bronchoscopy) ร่วมกับการทำ tumor removal โดยวิธี multimodality techniques ได้แก่ Nd-YAG laser เพื่อ devitalized tissue และป้องกันการเกิดเลือดออก, forceps debulking และ mechanical coring out หลังจากการทำหัตถการสามารถเปิด right main bronchus ได้ แต่ยังมี residual tumor ที่ posterior wall ของ right main bronchus ดังแสดงในรูปที่ 4 ผลการตรวจทางพยาธิวิทยาพบเป็น benign nerve sheath tumor favor schwannoma (positive for S100, SOX10 และ vimentin และ negative for HMB 45, melan A, AE1/AE3, CD56 และ EMA)

รูปที่ 4 ภายหลังการทำ tumor removal; A, Residual tumor ที่ posterior wall ของ right main bronchus และพบมี carinal involvement; B, Right bronchus intermedia ไม่พบ tumor involvement; LM, left main bronchus; RM, right main bronchus; RBI, right bronchus intermedia; RML, right middle lobe; RLL, right lower lobe.
ภายหลังการทำหัตถการ อาการผู้ป่วยดีขึ้นทันที ภาพถ่ายรังสีทรวงอกดีขึ้นดังแสดงในรูปที่ 5 และได้ส่งปรึกษาแพทย์ศัลยกรรมทรวงอกเพื่อประเมินการรักษาโดยการผ่าตัด แต่พบว่ารอยโรคมีความเสี่ยงในการผ่าตัดสูง จึงพิจารณาติดตามอาการและให้การรักษาเฉพาะที่โดยการทำ rigid bronchoscopy ร่วมกับ tumor removal กรณีที่ก้อนมีขนาดใหญ่ขึ้น

บทวิจารณ์
เนื้องอกของหลอดลมพบได้เพียงร้อยละ 0.1 ของเนื้องอกในปอดทั้งหมด 1 สาเหตุส่วนใหญ่มักเป็น malignant endobronchial tumor ได้แก่ squamous cell carcinoma (SCC), adenoid cystic carcinoma (ACC), mucoepidermoid carcinoma(MEC) และเนื้องอกในหลอดลมที่แพร่กระจายมาจากมะเร็งนอกทรวงอก(metastasis) นอกจากนี้ยังมีสาเหตุส่วนน้อยที่เกิดจาก tumor-like conditions เช่น amyloidosis, Wegeners’ granulomatosis, papillomatosis และ endobronchial tuberculosis2 ส่วน benign endobronchial tumor มักมีต้นกำเนิดจาก mesenchymal cells โดยชนิดที่พบได้บ่อยที่สุด ได้แก่ harmatoma และ lipoma ข้อมูลทางคลินิกและภาพถ่ายรังสีอาจไม่มีความจำเพาะในการแยกสาเหตุของเนื้องอกหลอดลม จึงมีความจำเป็นที่จะต้องใช้ผลการตรวจทางพยาธิวิทยาเพื่อยืนยันการวินิจฉัย
การดูแลรักษาผู้ป่วยที่มี endobronchial mass ประกอบด้วย
- การประเมินลักษณะรอยโรคและความรุนแรง โดยอาศัยอาการ อาการแสดง ลักษณะทางภาพรังสีและการส่องกล้องหลอดลม เพื่อวางแผนการรักษา ในผู้ป่วยรายนี้มีอาการเนื่องจาก right lung atelectasis แต่ยังไม่อยู่ในขั้นวิกฤต ร่วมกับลักษณะรอยโรคของผู้ป่วยรายนี้จากภาพถ่ายรังสีคอมพิวเตอร์พบเป็นในตำแหน่งเดียวและก่อให้เกิดการอุดตันของ right main bronchus ซึ่งหลอดลมในตำแหน่งใต้ต่อรอยโรคน่าจะยังปกติ ไม่พบลักษณะของ mediastinal invasion น่าจะเหมาะสมสำหรับการทำ bronchoscopic intervention เพื่อการเปิดหลอดลมและเอาก้อนที่อุดหลอดลมออกได้ แต่หากผู้ป่วยมีอาการวิกฤต เช่น มีการหายใจล้มเหลว อาจจำเป็นต้องทำการช่วยเหลือในระยะเบื้องต้นก่อน ขึ้นอยู่กับตำแหน่งของหลอดลมที่อุดตัน เช่น การใส่ท่อช่วยหายใจ (endotracheal intubation) และการเจาะหลอดลมคอ (tracheostomy)
- การเปิดทางเดินหายใจโดยใช้การส่องกล้องหลอดลม (bronchoscopic intervention) เพื่อรักษาภาวะหลอดลมอุดตันและ atelectasis จากลักษณะและความรุนแรงของรอยโรคจำเป็นต้องทำหัตถการผ่านการส่องกล้องหลอดลมชนิดแข็ง (rigid bronchoscopy) เนื่องจากจะสามารถช่วยการหายใจและทำหัตถการต่างๆ ได้ง่ายและปลอดภัยกว่า flexible bronchoscopy การเปิดทางเดินหายใจสามารถทำได้หลายวิธีและมักจำเป็นต้องทำหลายวิธีร่วมกัน (multimodality techniques) เช่น laser, electrocautery, argon plasma coagulation (APC), microdedrider, balloon bronchoplasty และmechanical coring out โดยผู้ป่วยจะมีอาการดีขึ้นทันทีหลังจากทำหัตถการ ส่วนการใช้ cryotherapy หากไม่มีการเอาก้อนออกด้วยจะมีผลของการเปิดหลอดลมช้ากว่าวิธีข้างต้น
- การตัดตรวจชิ้นเนื้อเพื่อตรวจทางพยาธิวิทยา สามารถทำได้พร้อมๆ กับการเปิดหลอดลม เนื่องจากต้องมีการเอาก้อนออกอยู่แล้ว แต่ต้องระวังภาวะแทรกซ้อน เช่น เลือดออก หรือหลอดลมทะลุ อาจป้องกันการเกิดเลือดออกมากโดยการใช้ laser หรือ electrocautery ก่อนที่จะทำการตัดชิ้นเนื้อหรือก่อนทำ tumor removal
Endobronchial schwannoma
Endobronchial schwannoma เป็น neurogenic tumor ที่มีต้นกำเนิดจาก mesenchymal cells ของหลอดลม ซึ่ง neurogenic tumor นั้นมี 2 ชนิด คือ neurofibroma และ schwannomas โดย neurofibroma มักเป็นโรคพันธุกรรม และพบว่าเกิดภายในหลอดลมได้บ่อยกว่า schwannomas3
Schwannomas รายงานครั้งแรกเมื่อปี พ.ศ. 25274 สันนิษฐานว่าเกิดจากความผิดปกติที่มาจากปลอกหุ้มเส้นประสาท vagus nerve มีการดำเนินโรคช้าเนื่องจากเป็น slow growing tumor ผู้ป่วยจึงมักไม่มีอาการในระยะแรก แต่ก็มีรายงานการเกิด malignant transformation ได้ร้อยละ 3.9 อาการและอาการแสดงของผู้ป่วยขึ้นอยู่กับขนาด ตำแหน่งของก้อน และการกดเบียดอวัยวะข้างเคียง เช่น ไอ ไอเป็นเลือด หอบเหนื่อย หายใจเสียงวี้ด เสียงแหบ และปอดแฟบ ผู้ป่วยบางรายอาจถูกวินิจฉัยและรักษาแบบโรคหืดอยู่นานกว่าจะวินิจฉัยโรคได้ ภาพถ่ายรังสีทรวงอกในระยะแรกมักปกติ มีการศึกษารวบรวมผู้ป่วยระหว่างปี พ.ศ. 2493 ถึง พ.ศ. 2556 จำนวน 51 ราย พบในผู้ป่วยที่เป็นผู้ใหญ่ร้อยละ 78.4 เพศหญิงพบได้บ่อยกว่าเพศชายเล็กน้อย (3:2) ตำแหน่งของก้อนที่มีพบได้บ่อย คือ หลอดลมใหญ่ส่วนปลาย (distal one third of trachea) โดยก้อนมักมีขนาดไม่เกิน 3 เซนติเมตร อาการและอาการแสดงส่วนใหญ่ คือ ไอ หอบเหนื่อย หายใจเสียงวี้ด ระยะเวลาเฉลี่ยในการวินิจฉัยโรคประมาณ 17 เดือน และร้อยละ 50 ถูกวินิจฉัยเป็นโรคหืดมาก่อน5
ภาพถ่ายรังสีคอมพิวเตอร์ทรวงอกมีความไวกว่าภาพถ่ายรังสีทรวงอกโดยพบก้อนในหลอดลมลักษณะกลม หรือรูปไข่ ขอบเขตชัด มักอยู่ที่ผนังด้านหลังของหลอดลม (posterior membrane) และส่วนใหญ่จะไม่พบการลุกลามไปเนื้อเยื่อข้างเคียง, mediastinum หรือต่อมน้ำเหลืองทรวงอก ยกเว้นในกรณีที่มี malignant transformation การตรวจด้วย PET-CTจะพบความผิดปกติได้เช่นเดียวกับ malignant tumor6–7
การตรวจทางพยาธิวิทยาจะพบ spindle cells เรียงตัวหนาแน่นเรียกว่า Antoni A และพบกลุ่มของนิวเคลียสที่เรียงขนานกัน (palisading nuclei) เรียกว่า Verocay bodies ซึ่งเป็นลักษณะเฉพาะของ Schwannoma นอกจากนี้อาจมีเซลล์ที่เรียงตัวห่างๆ ไม่เป็นระเบียบ (elongated cells in haphazard pattern) เรียกว่า Antoni B การย้อมพิเศษทางอิมมูโนวิทยา (immunohistochemistry) จะให้ผลบวกต่อ S-100, Vimentin, SOX 10, Calretinine, Podoplanin, EMA, CD34 และ CD68 แต่จะให้ผลลบต่อ Keratin, Cytokeratin, Neurofilament และ Desmin8–9
แนวทางการการรักษา schwannoma ได้แก่
1. ติดตามอาการและภาพถ่ายรังสีคอมพิวเตอร์ทรวงอกเป็นระยะๆ พิจารณาในรายที่ก้อนมีขนาดเล็ก ไม่มีอาการหรืออาการแสดงของการกดเบียดของหลอดลม หรือผู้ป่วยที่ปฏิเสธการรักษาโดยการส่องกล้องหลอดลมหรือการผ่าตัด
2. การรักษาด้วยการผ่าตัด (surgery) ได้แก่ การทำ primary resection with reconstruction พิจารณาการผ่าตัดถ้าเป็นไปได้ เนื่องจากให้ผลการรักษาที่ดี ส่วนใหญ่หายขาด ส่วนน้อยที่กลับเป็นซ้ำเนื่องจากอาจผ่าตัดไม่หมดในครั้งแรก ควรพิจารณาเป็นรายๆ ไป ทั้งนี้ขึ้นกับความชำนาญของแต่ละสถาบัน รวมถึงความเสี่ยงของผลแทรกซ้อนในการดมยาผ่าตัด รายงานการศึกษาผู้ป่วยที่ได้รับการผ่าตัด primary resection and reconstruction จำนวน 132 ราย มีอัตราการเสียชีวิตร้อยละ 510 ภาวะแทรกซ้อนอื่นๆ จากการผ่าตัด ได้แก่ แผลผ่าตัดติดเชื้อ, ปอดอักเสบ, แผลผ่าตัดหดรัด (strictures), แผลผ่าตัดแยก(dehiscence), และกล่องเสียงทำงานผิดปกติ (glottic dysfunction)11
3. การรักษาด้วยการทำหัตถการทางการส่องกล้องส่องหลอดลม (bronchoscopic intervention) มีรายงานการรักษาด้วยการทำ bronchoscopic intervention จำนวนไม่มากและส่วนใหญ่เป็น case report และ case series โดยควรทำผ่าน rigid bronchoscopy ร่วมกับ multimodality techniques12-13 (ตารางที่ 1) มีคำแนะนำลักษณะผู้ป่วยที่อาจพิจารณาการรักษาด้วย bronchoscopic intervention13 ได้แก่
- ตำแหน่งก้อนอยู่ในหลอดลมใหญ่ไม่เกินระดับ segmental bronchi
- ส่วนฐานของก้อนไม่กว้างมากหรือไม่เกิน 3 bronchial cartilage rings
- ก้อนมีลักษณะ peduncular structure
- โรคมีโอกาสกลับเป็นซ้ำน้อย
- ผู้ป่วยที่มีความเสี่ยงสูงต่อการผ่าตัด หรือไม่สามารถผ่าตัดได้
มีรายงานการแบ่งลักษณะของ pulmonary schwannoma เพื่อการวางแผนการรักษา โดยแบ่งตามตำแหน่งของรอยโรคออกเป็น 2 กลุ่ม14 คือ
1. Central type คือรอยโรคอยู่ใน trachea และ main bronchi ซึ่งแบ่งย่อยออกเป็น intraluminal type และ combined type (intraluminal and extraluminal space หรือ dumbell tumor) การทำ bronchoscopic intervention จะเหมาะสำหรับ Intraluminal type เนื่องจากสามารถตัดก้อนออกได้หมดหรือเกือบหมด แต่สำหรับ combined type ซึ่งมี extraluminal component ร่วมด้วยควรพิจารณาการผ่าตัดเนื่องจากผลการรักษาดีกว่า หรืออาจทำเป็น bronchoscopic intervention ในช่วงแรกเพื่อเปิดหลอดลมและบรรเทาอาการผู้ป่วยก่อน แล้วค่อยทำการผ่าตัดในภายหลัง
2. Peripheral type คือ ก้อนอยู่ในเนื้อปอด ควรพิจารณาการรักษาด้วยการผ่าตัด
ตารางที่ 1 Bronchoscopic intervention12-13 (ดัดแปลงจาก Gao H, Ding X, Wei D, et al. Endoscopic management of benign tracheobronchial tumors. J Thorac Dis 2011; 3:255-61. และ Armin Ernest, Felix J.F. Herth, editors. Principle and Practice of Interventional Pulmonology. Springer New York; 2013.)
| เทคนิคที่ใช้ | กล้องแบบแข็งหรืออ่อน | ข้อดี | ข้อเสีย |
| เลเซอร์ (LASER) | ได้ทั้งสองชนิด | เปิดหลอดลมได้เร็ว, ความลึกขึ้นกับพลังที่ใช้ | หลอดลมทะลุ, เลือดออก, มีควัน, หลอดลมติดไฟถ้าใช้ออกซิเจนเข้มข้นมากกว่า 0.4, ก๊าซแทรกซึมในกระแสเลือด, เนื้อเยื่อแกรนูเลชันเกิดขี้นมาก |
| APC (Argon Plasma Coagulation) | ได้ทั้งสองชนิด | เปิดหลอดลมได้เร็ว, ความลึก 3-4 มิลลิเมตร | หลอดลมติดไฟ ถ้าใช้ออกซิเจนเข้มข้นมากกว่า 0.4, ก๊าซแทรกซึมในกระแสเลือด, ภาวะพร่องออกซิเจนเนื่องจาก oxygen consumption มาก |
| จี้ไฟฟ้า (Electrocautery) | ได้ทั้งสองชนิด | สามารถใช้ห่วงไฟฟ้า (snare), ความลึก 2-3 มิลลิเมตร | หลอดลมทะลุ, เลือดออก, หลอดลมติดไฟ ถ้าใช้ออกซิเจนเข้มข้นมากกว่า 0.4 |
| หัวตัดและดูดกลับ (Microdebrider) | กล้องชนิดแข็งเท่านั้น | เปิดหลอดลมได้เร็ว, สามารถตัดและดูด ได้พร้อมกัน เห็น field ในการผ่าตัดได้ชัด, ใช้ออกซิเจนความเข้มข้นสูงได้ | หลอดลมทะลุ, เลือดออก |
| จี้เย็น (Cryotherapy) | ได้ทั้งสองชนิด | ความลึก 2-3 มิลลิเมตร, ไม่มีผลต่อกระดูกอ่อนหลอดลม, ไม่ก่อให้เกิดการหดรัดจากพังผืด | เปิดหลอดลมได้ช้า และต้องส่องกล้องคีบชิ้นเนื้อออกภายหลัง, อาจก่อความเสียหายแก่กล้องส่องหลอดลมชนิดอ่อน, เลือดออกตามหลังความเย็นคลายตัว |
สรุป
Endobronchial schwannoma เป็นเนื้องอกหลอดลมที่ไม่ใช่มะเร็งที่พบน้อยมาก อาการและอาการแสดงรวมถึงลักษณะทางภาพรังสีที่ไม่จำเพาะ ทำให้วินิจฉัยได้ยากและมักวินิจฉัยผิดว่าเป็นโรคหืด การรักษาด้วย bronchoscopic intervention จะมีประโยชน์ในการบรรเทาอาการโดยการเปิดหลอดลมและสามารถตัดชิ้นเนื้อเพื่อยืนยันการวินิจฉัยทางพยาธิวิทยา และอาจพิจารณาในกรณีที่รอยโรคเป็นแบบ central type และกรณีผู้ป่วยไม่สามารถผ่าตัดได้หรือมีความเสี่ยงสูงในการผ่าตัด
เอกสารอ้างอิง
- Saoud M, Patil M, Dhillon SS, et al. Rare airway tumors: an update on current diagnostic and management strategies. J Thorac Dis 2016; 8:1922-34.
- Ngo Anh-Vu H, Walker CM, Chung TH, et al. Tumors and tumorlike conditions of the large airways. AJR Am J Roentgenol 2013; 201:301-13.
- Roviaro G, Montorsi M, Varoli M, et al. Primary pulmonary tumours of neurogenic origin. Thorax 1983; 38:942–5.
- Feidhaus RJ, Anene C, Bogard P. A rare endobronchieal neurilemmoma (schwannoma). Chest 1984; 95:461-2.
- Ge X, Han F, Guan W, et al. Optimal treatment for primary benign intratracheal schwannoma: A case report and review of the literature. Oncology lett 2015; 10:2273-6.
- Park CM, Goo MF, Lee HF, et al. Tumors in the tracheobronchial tree: CT and FDG PET features. Radiographic 2009; 29:55-71.
- Ushiyama T, Katsuda E, Tanaka M, et al. 18F-fluorodeoxyglucose uptake and apparent diffusion coefficient in lung schwannoma. Clin Imaging 2012; 36:65-7
- Wilson RW, Kirejczyk W. Pathological and radiological correlation of endobronchial neoplasm:part I, benign tumors. Ann Diagn Pathol 1997; 1:31-46.
- Dumoulin E, Gui X, Stather D, et al. Endobronchial schwannoma. J Bronchol Intervent Pulmonol 2012; 19:75-7.
- Grillo HC, Mathisen DJ. Primary tracheal tumors: treatment and results. Ann Thorac Surg 1990; 49:69-77.
- Meyers BF, Mathisen DJ. Management of tracheal neoplasms. Oncologist 1997; 2:245-53.
- Erust A, Herth FJF. Principle and practice of interventional pulmonology. New York: Springer; 2013.
- Gao H, Ding X, Wei D, et al. Endoscopic management of benign tracheobronchial tumors. J Thorac Dis 2011; 3:255- 61.
- Hamouri S, Novotny NM. Primary tracheal schwannoma a review of a rare entity: current understanding of management and followup. J Cardiothorac Surg 2017; 12:105.
