บทความในอดีต
Pulmonary Quiz 1
พิชญา เพชรบรม
วารสารวัณโรค โรคทรวงอกและเวชบำบัดวิกฤต
ปีที่ 31 ฉบับที่ 2 เมษายน-มิถุนายน พ.ศ. 2553
PDF
ประวัติ
ชายไทยคู่อายุ 30 ปี ภูมิลำเนา จ. เชียงราย อาชีพ รับจ้างทำสวนดอกรักที่ จ. สมุทรสาคร
อาการสำคัญ: ไอเป็นเลือด 2 สัปดาห์ ก่อนมาโรงพยาบาล
ประวัติปัจจุบัน: 10 เดือนก่อน ผู้ป่วยมีอาการปวดบริเวณชายโครงขวา ไอเสมหะสีเหลืองข้นมีเลือดปนสีน้ำตาลเล็กน้อย มีไข้ต่ำๆ เบื่ออาหาร น้ำหนักลด 4 กก. มีอาการอยู่ 1 เดือน มาตรวจที่โรงพยาบาลพบ right pleural effusion แพทย์ได้ตรวจ ultrasonography พบว่า pleural effusion มีปริมาณน้อย ไม่สามารถทำ thoracentesis ได้ ให้การวินิจฉัยเบื้องต้นเป็น tuberculous pleuritis ให้การรักษาด้วยยาต้านวัณโรค 2HRZE/4HR หลังได้ยาอาการดีขึ้น ไม่มีไข้ น้ำหนักเพิ่มขึ้น แต่ยังไอมีเสมหะสีเหลือง
2 สัปดาห์ก่อน ผู้ป่วยไอเป็นเลือดเก่าๆ สีน้ำตาล 1 แก้วน้ำ ไม่มีไข้ ไม่เหนื่อยหอบ น้ำหนักลดลง 3 กก. ต่อมายังไอมีเลือดเก่าๆ ปริมาณไม่มากปนเสมหะสีเหลือง อุจจาระ ปัสสาวะปกติดี
ประวัติอดีต: เดิมแข็งแรงดี ไม่เคยเจ็บป่วยรุนแรง
ประวัติส่วนตัว: ไม่สูบบุหรี่ ดื่มสุรานานๆ ครั้ง
ประวัติครอบครัว: แต่งงานแล้วมีบุตร 2 คน ไม่มีคนในครอบครัวมีอาการเหมือนผู้ป่วย
Physical examination
Vital signs: T 36 °C, BP 136/76 mmHg, RR 14/min, P 90/min, SpO2 99% (room air)
GA: sthenic built, not pale, no jaundice, no respiratory distress, no edema, no clubbing of fingers
RS: trachea in midline, normal breath sounds, no adventitious sounds
Others: unremarkable
ผลการตรวจทางห้องปฏิบัติการ
- CBC: Hb 14 g/dL, Hct 41.3%, WBC 4,910/cu.mm., N 45.7%, L 33.5%, M 4%, Eo 16.1%, Basophil 0.7%, platelet 263,000/cu.mm.
- Blood chemistry: BUN 14.3 g/dL, Cr 1.0 mg/dL, Total bilirubin 0.2 mg/dL, AST 22 U/L, ALT 15 U/L, ALP 79 U/L, total protein 8.5 mg/dL, albumin 4.1 mg/dL, globulin 4.4 mg/dL
- Anti- HIV: non reactive
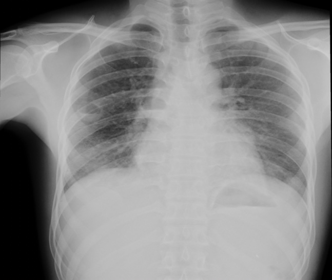
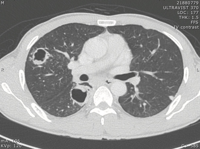
ภาพรังสีทรวงอก


คำถาม
- ท่านจะซักประวัติและตรวจค้นอะไรเพิ่มเติ่ม
- จงให้การวินิจฉัยโรค และการรักษา
วิจารณ์
ประวัติเพิ่มเติม กินปูดิบโดยหาจากห้วย ในนาข้าวแถบสมุทรสาคร นำมาใส่ส้มตำกินเป็นประจำ
ผลการตรวจเสมหะ fresh smear พบ

ผล stool exam พบ paragonimus eggs
ผล blood for paragonimus antibody – positive
Diagnosis : Paragonimiasis
Paragonimiasis เกิดจากพยาธิใบไม้ปอด (lung flukes) ซึ่งเป็นพยาธิตัวแบน trematode ใน genus Paragonimus พยาธิตัวเต็มวัยจะอาศัยอยู่ในเนื้อปอดของคนหรือสัตว์เลี้ยงลูกด้วยนม paragonimiasis พบได้ทั่วโลกโดยมักพบในทวีปเอเชีย แอฟริกาตะวันตก อเมริกากลางและ อเมริกาใต้ พยาธิใบไม้ในปอดที่ก่อให้เกิดโรคในคนแถบเอเชียตะวันออกเฉียงใต้ที่พบบ่อยมี 2 species คือ Paragonimus heterotremus และ Paragonimus westermani สำหรับในประเทศไทยพบพยาธิใบไม้ปอดในคนและสัตว์ 6 species ด้วยกัน ดังนี้ P. heterotremus, P. westermani, P. siamensis, P. bangkokensis, P. harinasutai และ P. macrorchis1 ในประเทศไทยมีเขตปรากฏโรคในจังหวัด นครนายก สระบุรี เพชรบูรณ์ เลย และเชียงใหม่ เป็นต้น
วงจรชีวิต2,3
พยาธิตัวเต็มวัย จะอาศัยอยู่ในปอดโดยสร้างเป็นถุง (cyst-like pocket) มักจะพบอยู่กันเป็นคู่และวางไข่ภายในปอด ไข่จะถูกขับออกมากับเสมหะโดยการไอ บาง cyst จะมีช่องติดต่อกับหลอดลม หรือไข่อาจจะถูกกลืนกลับลงสู่กระเพาะอาหารและผ่านออกมาทางอุจจาระ เมื่อไข่พยาธิลงสู่น้ำจะเจริญไปเป็น miracidium ภายใน 2-3 สัปดาห์และจะฟักออกจากไข่ไชเข้าโฮสต์กึ่งกลางตัวแรก ซึ่งได้แก่หอยน้ำจืดหลายชนิด จากนั้นเจริญเป็น sporocyst, redia, daughter redia และ cercaria ตามสำดับ ใช้เวลานาน 3 ถึง 5 เดือน จากนั้น cercaria จะออกจากหอยว่ายไปหาโฮสต์กึ่งกลางตัวที่สองซึ่งเป็นพวก crustacean ได้แก่ ปูน้ำจืด (ปูน้ำตก, ปูหิน), กุ้ง (สำหรับ P. westermani มีกุ้งน้ำจืดก้ามโต crayfish เป็นโฮสต์ด้วย) โดยไชเข้าไปขดเป็น cyst เรียกว่า metacercaria ซึ่งเป็นระยะติดต่อ มักจะพบอยู่ในเนื้อ เหงือกและอวัยวะภายในของปู กุ้ง เมื่อโฮสต์จำเพาะซึ่งได้แก่คนหรือสัตว์เลี้ยงลูกด้วยนมกินอาหารที่มีตัวอ่อนระยะติดต่อนี้เข้าไป metacercaria จะ excyst ในลำไส้เล็กและไชผ่านผนังลำไส้เข้าไปในช่องท้องผ่านกะบังลมไปที่ปอดและสร้าง pseudocapsule เจริญเป็นพยาธิตัวเต็มวัย ภายใน 6 สัปดาห์ก็สามารถผลิตไข่ ซึ่งไข่จะถูกขับออกมากับเสมหะหรืออุจจาระ พยาธิสามารถอาศัยอยู่ในคนได้นานนับ 10 ปี

อาการและอาการแสดง
ประมาณร้อยละ 20 ของผู้ป่วยไม่มีอาการ อาการปวดท้อง ถ่ายเหลว มีผื่นลมพิษ เกิดขึ้นได้ในระยะแรก (acute phase) ซึ่งเกิดจากระยะที่มี invasion และ migration ของพยาธิตัวอ่อน ต่อมา 2 ถึง 3 วันจะมีอาการไข้ ไอ เหนื่อย แน่นหน้าอก อ่อนเพลีย อาการเริ่มต้นนี้จะคงอยู่ประมาณ 2 ถึง 3 สัปดาห์ ส่วนระยะเรื้อรัง (chronic phase) มีอาการได้ทั้งในปอดและนอกปอด อาการแสดงในปอด ได้แก่ อาการไอ (ร้อยละ 62 ถึง 100) ไอเป็นเลือด (ร้อยละ 61 ถึง 95) โดยเสมหะมักเป็นสีสนิม หรือสีช็อคโกแลต โดยอาการไอเป็นเลือดสดปริมาณมากพบได้น้อยและอาการแน่นหน้าอก (ร้อยละ 38 ถึง 94)4,5 สามารถพบน้ำในช่องเยื่อหุ้มปอดได้ถ้ามีปริมาณมากทำให้มีอาการเหนื่อยได้ โดยการติดเชื้อเรื้อรังมักถูกวินิจฉัยผิดว่าเป็นวัณโรคปอด แต่บางครั้งอาจพบวัณโรคปอดร่วมกับ paragonimiasis ได้6 การตรวจร่างกายมักปกติแต่อาจได้ยินเสียง crackles, egophony, เคาะทึบได้ถ้ามีปอดอักเสบหรือมีน้ำในช่องเยื่อหุ้มปอด พบ finger clubbing ได้แต่น้อยมาก7 สำหรับอาการนอกปอดพบได้จากการเคลื่อนที่ของพยาธิใบไม้ตัวอ่อนหรือตัวแก่ไปยังอวัยวะต่างๆ หรืออาจเกิดจากไข่พยาธิที่เข้าไปในกระแสเลือด อวัยวะที่พบบ่อยคือสมอง (cerebral paragonimiasis) ผู้ป่วยจะมีอาการชัก อัมพาตครึ่งซีก สายตาเสื่อมหรือตาบอด บางรายเสียชีวิตได้ อวัยวะอื่นที่พบได้แก่ ตา กล้ามเนื้อ ใต้ผิวหนัง ผนังลำไส้ เยื่อบุช่องท้อง เยื่อหุ้มหัวใจ อัณฑะ รังไข่ เป็นต้น2
การวินิจฉัยโรค
อาศัยการซักประวัติการกินปูหรือกุ้งที่ปรุงไม่สุก การตรวจพบไข่พยาธิใบไม้ปอดในเสมหะ (sputum fresh smear) หรือในอุจจาระทำให้วินิจฉัยโรคได้ โดยจะมีโอกาสพบได้มากขึ้นถ้าทำการตรวจหลายครั้ง โดยไข่พยาธิจะมีสีน้ำตาลทองรูปยาวรีขนาดประมาณ 68-118 ไมครอน x 39-67 ไมครอน ใน Paragonimus heterotremus จะมีเปลือกหนาสม่ำเสมอตลอด ส่วน Paragonimus westermani เปลือกไข่ส่วนตรงข้ามกับฝา (operculum) จะหนากว่าส่วนอื่นๆ การตรวจอื่นๆ ได้แก่ การตรวจเลือดโดยใช้วิธี immunoblot assay โดยการใช้เอนติเจนจากตัวพยาธิ การทำ skin test เป็นต้น การตรวจ pleural fluid จะพบลักษณะของ exudate ที่มี eosinophil สูง การตรวจภาพรังสีทรวงอกจะพบ nodule, pneumothorax, interstitial opacities, cavity, ring cyst ลักษณะคล้าย bronchiectasis ได้8,9 ส่วน pleural effusion พบได้ประมาณร้อยละ 48 ถึง 624,10 ผู้ป่วยประมาณร้อยละ 10 ถึง 20 มีภาพรังสีทรวงอกปกติได้11 ภาพรังสีคอมพิวเตอร์พบ parenchymal consolidation ในผู้ป่วยส่วนใหญ่ linear streak พบได้ร้อยละ 3 ถึง 412 พบ ring shadow ได้ ประกอบด้วย cyst ที่มีพยาธิอยู่ติดกับผนังของ cyst7 และอาจพบ pleural nodule ได้
การรักษา
การรักษาหลักคือให้ยา praziquantel 25 มก./กก. กิน วันละ 3 เวลา 2 วัน ยาอื่นได้แก่ bithionol 30-50 มก./กก. กินวันเว้นวัน 10-15 ครั้ง นอกจากนั้น ในกรณีที่เป็น cerebral paragonimiasis อาจให้คอร์ติโคสตีรอยด์เพื่อลดการอักเสบจากการตายของพยาธิได้ ในรายที่เป็น chronic empyema อาจพิจารณาทำ decortication ร่วมกับจากการใช้ยา4
เอกสารอ้างอิง
- กาญจนา สุพันธุ์วณิช, วรรณะ มหากิตติคุณ, คณาจารย์ ภาควิชาปรสิตวิทยา คณะแพทยศาสตร์ศิริราชพยาบาล. ปรสิตหนอนพยาธิทางการแพทย์ 2539; 10:147-54.
- นิมิต มรกต, เกตุรัตน์ สุขวัจน์. ปรสิตวิทยาทางการแพทย์ โปรโตซัวและหนอนพยาธิ 2546; 17:334-44.
- ประยงค์ ระดมยศ, อัญชลี ตั้งตรงจิตร, ศรีวิชา ครุฑสูตร. Atlas of Medical Parasitology 2547: 133-7.
- Mukae H, Taniguchi H, Matsumoto N, et al. Clinicoradiologic features of pleuropulmonary Paragonimus westermani on Kyusyu Island, Japan. Chest 2001; 120:514-20.
- Singh TS, Mutum SS, Razaque MA. Pulmonary paragonimiasis: clinical features, diagnosis and treatment of 39 cases in Manipur. Trans R Soc Trop Med Hyg 1986; 80:967-71.
- Okagwu M, Nwokolo C. Radiological findings in pulmonary paragonimiasis as seen in Nigeria: a review based on one hundred cases. Br J Radiol 1973; 46:699-705.
- Im JG, Chang KH, Reeder MM. Current diagnostic imaging of pulmonary and cerebral paragonimiasis with pathological correlation. Semin Roentgenol 1997; 32:301-24.
- Meehan AM, Virk A, Swanson K, Poeschla EM. Severe pleuropulmonary paragonimiasis 8 years after emigration from a region of endemicity. Clin Infect Dis 2002; 35:87-90.
- Castilla EA, Jessen R, Sheck DN, Procop GW. Cavitary mass lesion and recurrent pneumothoraces due to Paragonimus kellicotti infection: North American paragonimiasis. Am J Surg Pathol 2003; 27:1157-60.
- Johnson RJ, Johnson JR. Paragonimiasis in Indochinese refugees. Roentgenographic findings with clinical correlations. Am Rev Respir Dis1983; 128:534-8.
- DeFrain M, Hooker R. North American paragonimiasis: case report of a severe clinical infection. Chest 2002; 121:1368-72.
- Procop GW, Marty AM, Scheck DN, et al. North American paragonimiasis. A case report. Acta Cytol 2000; 44:75-80.
